动脉网第一时间获悉,近日,北京医智影科技有限公司(以下简称“医智影”)完成数千万元A轮融资。本轮融资由熔拓资本和乐普医疗共同投资,医然资本在本次交易中担任财务顾问。此次融资款项将主要用于“RT-Solution智能放疗一体化解决方案”的研发迭代与市场推广,以及相关科研项目与注册项目的迭代优化及丰富完善。
医智影成立于2019年7月,是一家基于医疗大数据和人工智能技术研发“肿瘤精准治疗解决方案”的医疗AI企业。公司聚焦于肿瘤治疗临床靶区勾画,已完成乳腺癌、直肠癌、宫颈癌、肺癌、食管癌、全骨髓照射(TMI)、儿童肿瘤等癌种的临床靶区(CTV)勾画解决方案,以及全身超过120个危及器官勾画的全自动勾画;自主研发了 “放射治疗轮廓勾画软件RT-Mind”、“智能放疗流程管理系统RT-Link”、“智能放疗一体化解决方案RT-Solution”等核心产品,并以此为基础搭建了覆盖心脏、肺、肝脏等多部位多病种的规划导航产品,形成了完整的产品矩阵。
以“高筑墙,广积粮”的方式,医智影在肿瘤精准治疗赛道集中发力,深耕细作,不仅在技术创新上做出了壁垒,而且持续拓展产品管线,为行业提供了诸多创新解决方案。
目前,企业相关研发成果已发表于《Radiology》《Medical Physics》《Radiotherapy and Oncology》等国际期刊上,同时申报多项科技部、国自然基金项目。产品“放射治疗轮廓勾画软件RT-Mind”已斩获国家三类医疗器械注册认证及美国食品药品监督管理局(FDA)入市许可,市场落地持续加速。
尤为值得一提的是,医智影于业界首次推出了数智化的“RT-Solution智能放疗一体化解决方案”赋能肿瘤精准治疗,真正意义上实现了临床放疗自动化。
放疗是如今最主要的癌症治疗手段之一。
据开源证券数据,放疗市场规模已在2021年达到517亿元。在放疗设备配置数量增长、部分放疗医疗服务项目价格调增,以及精准放疗技术的发展与普及等因素影响下,放疗普及度与放疗市场规模将有望进一步扩大。
不过目前肿瘤放疗正面临一大痛点,即放疗程序复杂,且难度较高,从肿瘤初期诊断、治疗方案制定,到放射治疗执行均严重依赖医生水平。而我国不仅不同医院治疗水平差次不齐、异质化严重,且伴随癌症发病率的逐年攀升,放疗医师和物理师由于培养周期长,中小医院成熟的放疗医师和物理师仍旧缺少,放疗治疗效果难以得到提升。
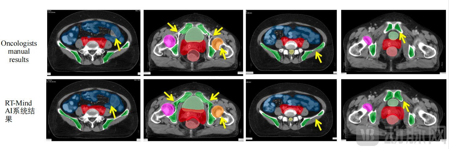
深耕医疗行业17年的医智影创始人王少彬博士,算得上国内较早一批做人工智能研究的科学家。他曾在日本佳能医疗、东芝医疗等医疗科技企业担任要职,并带领团队成功开发多款临床应用产品,获得全球专利十余项。王少彬告诉动脉网:“临床靶区勾画是放疗关键,可决定60%的疗效。一方面,不同中心及不同医师靶区勾画差异大。另一方面,勾画耗时费力,属重复性工作。完成这一技术突破才是从源头上质控放疗,真正实现院内、区域内以及全国大小医院的均质化治疗。”
正是基于这一认知,医智影从成立之初就选择了技术难度最大、但最具临床价值的“肿瘤临床靶区(CTV)全自动勾画”作为突破口。
依托企业十余年的图像处理和人工智能技术积累,医智影最终实现将肿瘤医生和物理师的治疗经验转化为深度学习模型和产品,通过智能Dr. Twin®系统,将顶级医院诊疗复制到各级医院,提供均质化、不知疲倦的“孪生医生”智能肿瘤放疗解决方案,为复杂的肿瘤治疗流程自动化和智能化赋能。
目前企业所推出核心产品“RT-Mind智能靶区勾画”以超过6万例高质量训练样本为基础,不仅可覆盖全身主要癌种,且可实现关键技术解决临床靶区(CTV)自动勾画。据悉,该准确度高达95%以上,勾画速度<10秒,全面兼容主流放疗系统,实现100倍效率提升(经多中心医院临床实测)。

如今企业更进一步,推出“RT-Solution智能放疗一体化解决方案”。该解决方案以放疗自动化为目标,结合靶区自动勾画RT-Mind、智能流程管理RT-Link、智能自动计划RT-AutoPlan、智能剂量验证RT-Veri、自适应放疗ART-Mind等产品组合赋能放疗新基建。
不仅如此,RT-Solution还搭载全科大数据管理平台RT-DMS,配套远程放疗协作平台RT-Cloud,真正为患者提供精准治疗服务,为医生和物理师提供可靠的智能辅助工具,提升医院和科室的效率和信息化水平。
回顾医智影一路走来,其从成立至今便始终聚焦“肿瘤精准治疗解决方案”打造。通过和清华大学以及包括北京协和医院、北京大学肿瘤医院、河南省肿瘤医院等全国顶级医院专家的合作,企业不断迭代与优化技术,为临床持续提供包括全自动勾画、功能丰富的放疗工作站,以及基于云平台的远程放疗系统等在内的,灵活且适应现有工作流程的多种产品组合,以真正实现用AI赋能放疗全流程,提高放疗科医生和物理师的工作效率。
未来医智影还将加快产品投放及海外布局。同时和中华医学会放疗分会、中国医学装备学会、中国核医学会紧密合作,布局区域医疗,提升县域治疗水平,助力医疗下沉。
熔拓资本表示:“医智影团队来自世界五百强企业东芝医疗,而东芝医疗是全球范围内的医学影像领先供应商。不仅如此,医智影团队已完成领先的图像处理技术和算法模型搭建,并与北京协和医院、北京大学肿瘤医院等顶级医院战略合作。由企业自主研发的产品也已获得中国NMPA和FDA 510K批准上市,得到顶级医院专家高度认可。经过两年发展,公司产品已经形成矩阵化,同时产品已经初步商业化。相信未来医智影还将推出更多具有价值的‘肿瘤精准治疗解决方案’,助力肿瘤医疗服务市场发展!”
乐普医疗表示:“医智影核心团队均来自于国际知名医疗设备公司,在医疗设备软硬件、人工智能、大数据和临床应用方面深耕十多年,兼具国际化视野和本土化落地执行力,是不可多得的懂技术、懂行业、懂市场、懂临床的复合型团队。肿瘤治疗市场规模超过3,000亿元,放疗市场有500亿元,但精准治疗对技术和产品的要求更高更严格,目前数智化治疗还属于蓬勃发展的阶段,上升空间巨大。尽管医智影成立时间不长,但却布局了丰富的肿瘤精准治疗产品线,获得NMPA三类医疗器械注册证和FDA许可,实现全球装机超过250家医院,且得到国内外专家的高度认可,发展潜力优势明显。”
医然资本表示:“医然资本非常看好AI在放疗领域的应用,这是一个‘纯刚需+支付能力强’的赛道,这一特征将使行业的落地能力和变现能力得到保障。而医智影团队不仅扎根于该领域,而且团队成员来自全球范围内医学影像领先企业。目前团队产品已经得到行业内资深的专家认可和背书,装机量增长迅猛。我们期待公司在‘产业资源+资本资源’的助力下,商业拓展能够继续腾飞,保持行业领先。”
熔拓资本专注于私募股权投资,以“诚信、专业、合作、创新”为核心理念,以“提高资源配置效率”为使命,以医疗健康、清洁能源、先进制造为主要投资领域。
乐普(北京)医疗器械股份有限公司(简称“乐普医疗”,股票代码300003)创立于1999年,是我国最早从事心血管介入医疗器械研发制造的企业之一,是国内高端医疗器械领域可与国外产品形成强有力竞争的少数企业之一。未来,公司将不断完善覆盖心血管疾病的预防、诊断、治疗和康复的全生命周期产业平台建设,致力打造“心血管大健康+抗肿瘤”的特色化生态平台,为更多心血管病及肿瘤疾病患者提供先进产品及优质服务。
医然资本成立于2020年,团队具有北大医疗专业背景,专注为创新药、医疗器械(IVD)及服务领域的优质医疗企业提供全方位深度融资服务,精准把握医疗行业方向,拥有成熟的项目资本运作市场经验。


















