继获得加拿大、澳大利亚及英国等国的市场准入后,2023年2月12日,全球便携式MRI巨头Hyperfine(纳斯达克股票代码:HYPR)旗下便携式MRI“Swoop”正式获得欧盟的CE认证。
2021年实施的欧盟MDR(《医疗器械法规》)提高了对医疗器械安全性、性能及相关文件的要求,并且加强了器械上市后的监管体系。这意味着CE认证不仅认证周期大幅拉长,并且申请难度也在直线上升。
因此,Swoop系统此时获得CE认证是其在欧洲乃至国际市场的一个重要里程碑。
随后半月内,Hyperfine连续进行两次Swoop软件升级的FDA备案。数据显示,公司改善了DWI(diffusion-weighted imaging, 扩散加权成像)序列的图像质量并将其信噪比提高了42%。
DWI序列提供的图像可用于诊断各种神经系统疾病,以确保患者得到及时准确的治疗。而新软件信噪比的提高,加上对患者细微运动的更强大的补偿,则是大大提高了DWI序列的图像质量及均匀性,或将把患者临床获益带上新台阶。
2月28日,Swoop又再次获得FDA批准进一步更新软件。与上版相比,DWI序列信噪比显著提高了42%。
大型MRI设备在安装、操作及维护过程中会面临着服务半径有限、应用环境要求严格以及操作难度高等问题。作为全球首款能够在护理点提供神经成像的便携式MRI,Swoop彻底摆脱了传统设备对于选址及运行的空间限制,拓展了产品的使用场景及应用领域。
Swoop便携式MR成像系统
图片来源:Hyperfine官网
那么,Swoop是如何解决传统MRI设备在诊断服务过程中遇见的痛点难题呢?
全世界80%的人口无法使用MRI,且平均等待时间长达15小时。高昂的成本导致许多发展中国家的医疗机构以及发达国家的小型医疗机构无法负担动辄上百万的MRI设备。根据《2021年中国mri设备行业研究报告》,中国每百万人仅拥有7台MRI设备,远低于同为亚太地区的日本的55台及韩国的29台。
针对这个难题,Hyperfine称Swoop的单次检查成本相较于传统MRI设备降低了20倍,功耗降低了35倍。此外,它的设备单价仅约50000美元,比大型固定式MRI的年度服务合同费用还低。
其次,大型MRI设备操作流程更为复杂,需要配备专业的操作人员,并且大型设备对运行环境的温度和湿度等指标都有严格的控制。
反观,Swoop可以做到直接推行到患者床边,通过标准电源插座进行连接,并由平板电脑控制。这种基于低功率无线电波和磁场产生图像的高效运行模式,可在三分钟内完成扫描,优化了传统诊断过程的人员配备,缩短了诊断时间。
解决完基本诊疗流程、环境及服务问题后,Hyperfine进一步在Swoop的工作流程上精进,将脑成像自动化的AI工具——BrainInsight无缝集成到Swoop内,实现了对于常规患者护理的AI工作流程的支持。
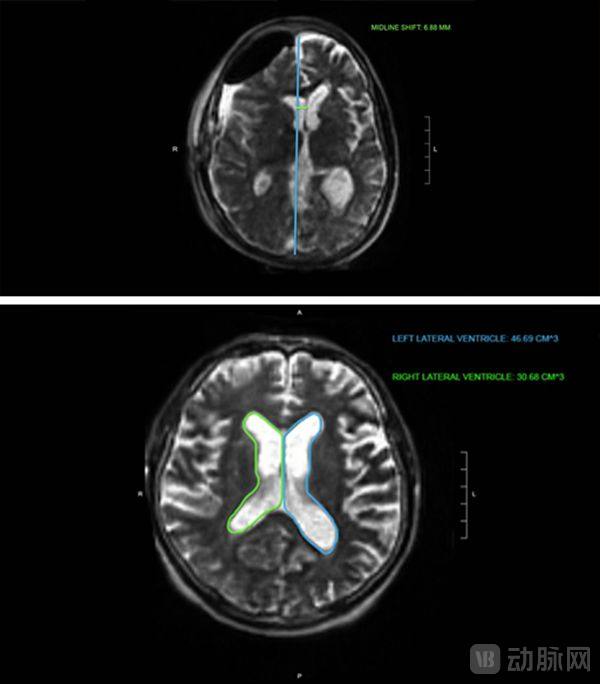
BrainInsight处理过程大约七分钟,包括中线移位(检测和测量)和侧心室(分割和体积测量)。
首先将Swoop系统获取的图像上传到云图像查看器,接着BrainInsight获取图像并进行自动计算,输出测量结果,并将图像进一步处理为颜色叠加层,其中每种颜色代表解剖结构的分割区域或空间测量值。
BrainInsight的植入为临床医生提供了定量生物标记信息,从而进一步简化患者护理流程,减轻了神经放射学专家执行手动测量的负担。

上:分析定位到中线最显著移位的切片。
中线(蓝线)、偏移(绿线)和中线偏移测量值
下:通过轴向扫描将左右侧脑室的轮廓及其计算体积可视化。
左(蓝线)和右(绿线)侧脑室周围的轮廓
图片来源:Hyperfine官网
此外,Hyperfine在2022年与Viz.ai达成合作关系。后者是领先的AI护理协调平台,用于疾病检测和工作流程的优化。
此次合作通过将Viz.ai的智能护理协调平台和领先的图像查看器与Swoop系统相结合的形式,加快临床团队获取图像的速度同时简化临床工作流程,从而进一步缩短了患者从入院到治疗的时间,实现1+1>2的效果。
Hyperfine成立于2014年,是一家创新型医疗技术企业,其使命是提供价格合理且易于操作的成像和监测设备,以此来彻底改变世界各国各地区患者的医疗保健现状。创始人Jonathan Rothberg满怀热情,希望能找到一种重新定义脑成像的方法。
这个答案便是全球首台便携式MR成像系统Swoop。
拥有化学工程学、生物学以及哲学学位的Dr. Rosenberg是一位成功的连续创业者。他是医疗技术和药物启动孵化器“4Catalyzer”的创始人,这个组织专门寻找那些有天赋的工程师、化学家和科学家,并和他们达成合作关系,一起以初创企业作为研究载体从事创新项目。
自1991年从耶鲁大学毕业后,Dr. Rosenberg共相继创办了9家公司,其中不乏454 Life Science、Butterfly Network等独角兽企业。

Jonathan Rothberg 创业公司信息
表格来源:动脉网收集整理
除了Jonathan Rothberg的明星创业背景,Hyperfine的管理团队也可谓是精明强将。
总裁兼CEO Maria Sainz拥有康普顿斯大学的语言文学硕士学位和美国国际管理研究生院的国际管理硕士学位。她有着超过20年的医疗器械领域从业经验并且长期在大型医疗设备公司和医疗技术初创公司担任总裁和CEO。Maria Sainz于2022年正式成为Hyperfine商业扩张的领航者,她积极布局Swoop的应用范围,力求改善全球MRI设备的使用情况。
CPO Tom Teisseyre拥有加州大学的生物工程博士学位和佐治亚州亚特兰大乔治亚理工学院的生物医学工程理学学士学位。他在医学成像、医学图像处理、术中成像、手术技术和手术工作流程优化方面均拥有专利和出版物。
CFO、CAO Brett Hale于2023年加入Hyperfine。他拥有印第安纳大学的会计学学士学位、工商管理硕士学位、CPA证书以及超过25年的金融专业经验,其中20多年从事医疗技术行业。Brett Hale的加入不仅优化和提高了Hyperfine的现有技术,而且通过优化商业模式提升了公司地域扩张战略的效率。
高级医疗总监Chip Truwit博士曾在明尼苏达大学担任了27年的神经放射学教授,并曾在飞利浦医疗担任诊断成像首席医疗官和精准诊断医疗官。他还创办过一家神经外科市场的医疗设备供应公司——Image Guided Neurologics(2005年被Medtronic收购)。他撰写了130多篇关于神经科学的文章和4本专著,并拥有31项医疗器械专利。
2021-2023年间Hyperfine在管理团队层面频频换血,在人选上无一例外都是具有医疗技术相关背景且管理经验丰富的人。正是依托这支国际一流团队,公司才能在2022至2023年两年的时间内多次优化升级Swoop系统,获得美国FDA以及欧盟CE的批准认证。
MRI作为世界上最安全的成像方式之一,全球却有90%以上的地区无法获得MRI服务。Hyperfine利用计算能力和AI技术的进步,开发了这种价格合理、便携、普适性高的低场MR成像设备。
同时,公司在发展过程中与十多个全球资源有限国家的各种慈善基金会开展密切合作,共同积极推进MRI成像的普及,为实现医疗保健的公平化、民主化而不懈努力。
2021年,Hyperfine带着Swoop系统成功上市。这台高约1.5米的Swoop开启了我们对床旁便携式MRI的无限幻想。
无论是Swoop在精密成像研发的不断改进获得双料批准认证,还是在2021年获得9000万美金的D轮融资后,Hyperfine于同年7月与HealthCor Catalio的SPAC合并上市。Hyperfine在不断推进跨界技术融合的临床研究的同时,也在市场拓展方面积极布局。
Swoop在全球市场上高歌猛进的同时,中国国产床旁便携式MRI也获得了突破性的进展。
2020年,重庆大学电气工程学院联合陆军军医大学西南医院成功开发出一款头部专用床边MRI系统的原型机。
这套国产系统的场强为0.05T,总重量小于500kg,使用220V/50Hz标准电源供电,这些基本性能均与Swoop相似。同时这台原型机也能够在重症监护病房、普通病房及手术室内运行,实现床旁MRI成像检查。
目前,该项目已获伦理批件,正在国内三家医院内开展多中心临床试验。

左:Swoop便携式MR成像系统
图片来源:Hyperfine官网
右:头部专用床边MRI系统的原型机
图片来源:重庆大学官网

Swoop与国产原型机参数对比
表格来源:动脉网收集整理
据Hyperfine财报显示,2022年第三季度公司总营收234.8万美元,相较于第二季度同比增长约30%。Swoop通过独家设备、自动化成像处理以及完善的订阅服务,获得了约19个国家地区市场的认可。
这些成功经验也许能给国产便携式MRI设备一些先导启示。
首先,“临床试验+开发升级”的循环优化模式。Swoop在2020年首次获得FDA批准后,通过对临床真实数据的研究,在软件开发、人工智能和图像质量方面不断优化升级。期间又获得两项FDA硬件改进许可和七项升级软件的许可,其中有五项是在2022年获得。
这种医患临床需求刺激下的“工具箱”开发模式是Swoop变革MRI成像市场的核心。
其次,“技术+服务”塑造品牌价值。Swoop作为全球首款便携式MRI具有较好的技术优势,以“产品刺激需求”的模式能快速在MRI资源成熟的地区占据市场。
但随着技术的变迁以及市场的成熟,现有技术、产品、管理都会成为竞争对手模仿的对象。因此,Hyperfine通过率先布局美英等高消费力市场,不断利用技术升级来维护现有市场,形成Swoop的品牌优势。
最后,自从2021年宣布全球扩张计划以来,Hyperfine已经在英国、加拿大、澳大利亚等家进行了Swoop的营销,分销和销售。例如,加拿大的分销商是创新医疗技术分销商UpCare,澳大利亚和新西兰的经销商是高端医疗设备分销商Quantum HealthCare等。
虽然MRI补充品的市场巨大,但这种借由合作方销售渠道的低成本扩张模式,保证Hyperfine能够快速构建了系统化、高效率的全球护理网络。
国产便携式MRI和Swoop两者都作为传统MRI设备的补充品,但国产设备如何像Swoop一样通过品牌和技术优势,提升产品潜力以及扩大应用场景,在全球市场内获得认可,需要我们在品牌价值上、产品创新上、商业模式上去深入探究。


















