虽然早在1973年美国科学家Paul Lauterbur就发表了MRI成像技术。但50年过去了,世界上仍有大约三分之二的人用不上MRI。
根据华经产业研究院数据,2022年日本MRI设备人均保有量高达57.4台/百万人,美国、希腊、韩国、德国、意大利、芬兰和挪威等国家的百万人MRI设备保有量均在30台以上。同年我国MRI设备人均保有量仅为9.38台/百万人,和发达国家相比还存在很大差距。
“临床医生对磁共振的需求非常迫切,几乎所有科室对病情的诊断都离不开磁共振,除非是急救患者因为时间原因做不了磁共振。”上海某三甲医院神经外科主任告诉动脉网。
现在市面上单台MRI价格通常在600万~2000万元人民币,且后续维护开销较大,基层医院大多难以负担。大三甲医院是配备MRI的主力军。对于已经用上MRI的医院而言,使用痛点也非常明确。
一是MRI设备不可移动,无法满足转运风险高的患者。MRI设备吨位大,一般都置于医院放射科一楼,不可移动,每次检查都需要患者去到设备旁。无法满足部分转运风险高的患者,例如ICU的患者昏迷,CT检查不出来,又不能转运做磁共振,最终导致无法确认病情。还有新生儿转运起来风险也很高,而且大型磁共振对新生儿的检查并不特别匹配。
二是无法满足专科科室个性化需求。各个科室对于MRI的使用需求差异明显,例如急诊强调检查的及时性、住院部需要多频次使用、口腔科需要结合口腔特点、骨科需要患者坐着做且清晰度要求更高、新生儿需要在产房或手术室做、ICU病人不能大距离转移等。
三是磁共振检查排队时间长,接待能力有限。大多数医院的MRI检查都需要预约排队,急性患者无法及时做磁共振就有可能会贻误黄金诊治时间。例如急性脑梗死,发病的前24小时,在CT上看不到,病情的诊断、后续的治疗,是否为梗死,都需要磁共振检查。但由于MRI及影像科承接能力有限,如果总有插队,就无法进行正常的预约检查。
该主任还补充表示,国家大力发展建设心血管梗死、脑梗死等胸痛中心的诊疗体系,在诊疗路径中却没有将磁共振列入,不是因为不需要,而是考虑到我国实际医疗情况,“如果磁共振设备能放在急诊,肯定会在CT之前。”
彼时,在中科院一个研究所分管科技成果转移转化的蒋卫平,在筛选项目的过程中,留意到生物电磁技术研究团队的小型核磁项目。“我发现这个项目非常符合我们的筛选标准——世界范围内技术绝对领先、介入壁垒足够高、离产业化的距离足够近。并且该项目的应用也非常契合国家分级诊疗及DRG付费改革的方向。”
为进一步探实临床对该技术产品的需求,他耗时四个多月,辗转北京、上海等地。在拜访四十多位科室主任后,逐渐在心中明晰——“小型化、专科化、可视化是MRI设备未来发展的趋势”。
于是,他撸起袖子就是干,决定全力转化该项目。

根据场强大小,可以把MRI分为低场、中场、高场及超高场。场强小于0.5T的MRI叫做低场MRI,这种磁共振一般是永磁型的。场强在0.5T和1.0T的MRI叫做中场MRI。场强大于1.0T但是小于2.0T的MRI属于高场MRI。
一般而言,场强升高可以带来成像及图像质量的提高。但与此同时,随着场强的升高,磁体的体积越大、重量越重,制造成本也会越来越高。同时,场强的升高也会放大一些场强相关效应(如化学移位效应、BOLD效应等,产生伪影,干扰图像诊断)及增加SAR值(特定吸收率)。并且场强越高,所需要的MRI场地及安装机房也就要求越大。
所以,虽然场强越大得到的图像信噪比越高,但并不是场强越大就越好。场强的高低,在临床应用中是“尺有所短、寸有所长”。
从磁场强度来说,虽然低场核磁场强低,但可以采用永磁体,其优势在于无需液氮液氦、无需屏蔽房,场强稳定且成本低,占地面积小。要知道,高场核磁一年的维护成本大概在几十万元以上,且由于大小重量环境限制,MRI设备基本只能装在一楼。
“移动是小型磁共振的核心。”中科微影创始人蒋卫平告诉动脉网,目前有核磁共振设备有超导和永磁两条技术路线。其中,超导磁体为了维持超导线圈的超导性能,需要维持低温环境,并且还需要一套能够维持低温环境的专用制冷系统。除非事故或维修,一旦开机就永远不能断电、不能关机。永磁体一般由稀土材料制造而成,比如钕铁硼、铁钴镍等。永磁体可以永久保持磁性,体积小,不依赖电源。以目前的技术看,小型永磁MRI更适合移动应用。
“小型核磁不是大型核磁的缩小版,其具有独特的技术路线,技术难度很高。”蒋卫平告诉动脉网,国内外虽然已有相关获批产品,但鉴于磁场强度太低、临床解决能力有限、核心部件需要外购等制约,难以平衡产品性能与成本,距离专科化尚有一段距离。
小型化、可移动、科室化、轻量化、自屏蔽是中科微影核磁共振产品的特色。
“我们所有产品都是根据科室对核磁的要求量身定制,只进专业科室,不进影像科。”蒋卫平介绍道,不同科室对于MRI需求各异。比如关节核磁,患者需要坐着检测;新生儿核磁,则需要放置在妇产科,必须综合考虑成像清晰度、与其他医疗设备的兼容性、场地的局限性等因素。中科微影会根据各个专业科室对核磁成像清晰度、成像速度、成像序列等要求量身定制核磁外形、场强、序列、软件等。
据蒋卫平介绍,自有核磁以来,50%的核磁检测都是做头、颈检测,核磁检测的排队问题主要也是由大量的头颈检测量造成的。中科微影便以此为突破点,率先研发出0.2T移动式头颈核磁,让MRI设备突破放射科、影像科的桎梏,成为智能的床旁诊断设备,实现从“患者找设备”到“设备找患者”的跃升。

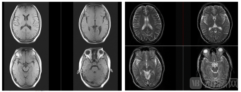
0.2T移动式头颈核磁
磁体是磁共振系统的“心脏”。为了在保持产品性能的基础上实现设备的小型化,中科微影采用轻量化的磁体设计、独特的成像序列技术、小型化的谱仪设计等从硬件到软件的全面革新。设备梯度磁场强度为16mT/m,最大切换率为40mT/m/s,产品重量仅为750公斤,设备底部装有万向滑轮,可任意移动,在室温环境中运行。
该设备操作简单,诊断结果可同步读取。结合远程诊断和AI技术,便于医生使用并提供给患者最佳的诊疗方案。
并且该设备已实现自屏蔽,可与其他医疗设备兼容,无需额外做屏蔽房。在降低制造、运营成本的同时,大幅提升了核磁检测的便捷性与可及性,补足了大型MRI无法深入的急诊、术中、ICU、儿科、骨科、神经内科、神经外科、口腔科、基层医疗机构、野外驻训、移动医疗、体检中心、宠物医院等场景。
“医疗器械存在的唯一理由是能够解决临床问题。我们的设计思路是必须先考虑解决临床问题,然后再考虑小型化、专科化、可移动化。针对头颈的临床诊断需求,0.2T/1mm的精度完全可以满足医生的需求。”蒋卫平总结道。

中科微影0.2T移动式头颈核磁成像效果
基于0.2T移动式头颈核磁的产品技术,中科微影还拓展应用至另一个潜力无限的蓝海市场——宠物医疗,推出0.2T宠物专用核磁共振成像仪。
该成像仪在核心技术参数和人用设备基本一致,针对小动物在软硬件上进行了优化。例如根据小动物的特点开发了系列成像序列、利用了核磁的腔体做宠物床节省摆放空间、插上220V家用电源就能用等。目前,该设备已完成研发生产,即将投入宠物医院。

0.2T宠物专用磁共振成像仪
在快速推进研发的过程中,中科微影也在不断筑高专利护城河。据悉,公司累计申请专利82个,公开超过55个,2个为实用新型,其余全部为发明专利。此外还有软著2个。
随着精准医疗的普及,医学影像的小型化、便携化和数字化潮流大势所趋。小型化设备不仅能够提高影像诊断的效率,也有助于医院增加营收。
未来,中科微影将持续深入各类专科核磁的研发,并同步开拓小型MRI宠物市场。借助“小核磁,大场景”的智能床旁诊断解决方案,全面赋能MRI,让核磁检测不再排队。


















