近日,国家药品监督管理局发布了《组织工程医疗器械 丝素蛋白》医药行业标准,为丝素蛋白在医疗器械领域的应用提供了明确的技术规范。这一标准涵盖了丝素蛋白的物理、化学性能要求,以及标签、包装、运输和储存等方面的规定,确保了其在医疗器械中的安全和有效应用。标准的发布填补了行业空白,为丝素蛋白在医美和再生医学领域的应用树立了新规范。

医药行业标准测量方法由“复向智算”提供
丝素蛋白作为天然大分子物质,因其剪切敏感特性,在存储和运输环节面临重重挑战,测试和筛分过程也存在诸多阻碍。当前,可靠检测手段的匮乏直接导致市场上丝素蛋白产品质量参差不齐,进而影响了整个行业的技术进步。在对大分子量丝素蛋白进行研究时,我们团队发现传统高分子检测方法,无论是高效液相色谱法、凝胶电泳法、还是静态光散射和小角中子衍射法,亦或是凝胶渗透色谱与快速蛋白质液相色谱的联用检测方案,均无法对丝素蛋白进行精确分析,进而无法对产品的分子量实施有效的监控。
对桑蚕丝素蛋白分子离子液体溶液的动态线性粘弹性的多年研究中探索,发现储存模量(G’)和损耗模量(G”)与频率之间关系呈现类似 Rouse 模型的指数依赖模型。
类似Rouse模型

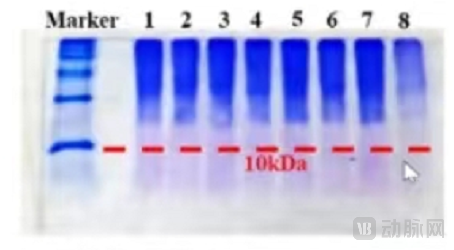
传统方式SDS-PAGE凝胶电泳图预测分子量分布
“复向智算”获得的丝素蛋白分子量计算拟合结果
并经过多年的努力,复向美学成功发明了特殊的工艺方法和独特的溶解体系,并结合基于对Rouse 模型的拟合而自主开发的行业首款丝素蛋白分子量计算拟合软件Favorsun SmartMolFit“复向智算”,这一系列的突破不仅攻克了丝素蛋白领域分子量测定的难题,也为行业标准的制定提供了关键性的支持,促使标准得以确立。
作为丝素蛋白行业的标杆,复向美学自主研发的复向智算是一款专为生物大分子设计的分子量计算软件,能够通过流变学数据和黏度数据,对医疗器械产品中丝素蛋白分子量(数均分子量及重均分子量)提供精准计算,并以此获得其分子量分布宽度指数。该计算方式为复杂的生物材料分析提供了科学依据,进而增强了产品性能的稳定性和安全性,成为标准制定的重要技术基石。
下图引自:行标YY/T 1950-2024. (B.5.2 分子量拟合计算)
此外,对不同降解阶段产品所测得分子量的拟合计算结果的汇总分析,也有助于丰富丝素蛋白产品的降解评估手段,从而可以更全面地认识和理解丝素蛋白的整个降解过程。


















