2025年4月29日,江苏霆升科技有限公司(TINGSN)自主研发的TINGSN 4D ICE顺利完成国内首例人体临床研究。这一里程碑式成果,标志着我国4D心腔内超声技术实现重大突破,正式开启心脏疾病精准介入诊疗全新时代!

01
临床突破,开启中国4D ICE应用新篇章
中国结构性及电生理心脏病介入领域迎来里程碑进展——由江苏省人民医院孔祥清教授领衔,孙伟教授、张海锋教授联合开展的TINGSN 4D ICE首例临床研究取得圆满成功。
患者为76岁女性,7年前确诊房颤行消融术,其后心悸反复,10天前复发伴恶心、呕吐。患者有高血压病史,术前经食道超声提示患者左房及左心耳血流缓慢,呈“自发显影”,左心耳血流排空速度 22cm/s。经医疗团队综合评估,并充分与患者及家属沟通治疗方案后,决定行“一站式”房颤射频消融联合左心耳封堵介入手术。
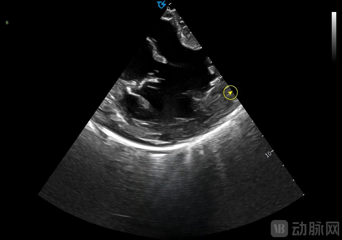
术中穿刺后,术者操作TINGSN 4D ICE导管经股静脉入路,进入右心后观察各腔室结构及瓣膜情况。在4D ICE引导下完成房间隔穿刺,并观察术前心包。建立通路后,首先行肺静脉隔离术,然后在实时动态三维超声影像监测下观察左心耳,引导封堵器械进入并完成封堵。完成干预后,撤出输送系统,并通过二维及三维图像确认心包完整。术后患者体征平稳,转入病房。相较传统X线透视,ICE技术使辐射暴露时间缩短62%,手术总耗时减少约30分钟。
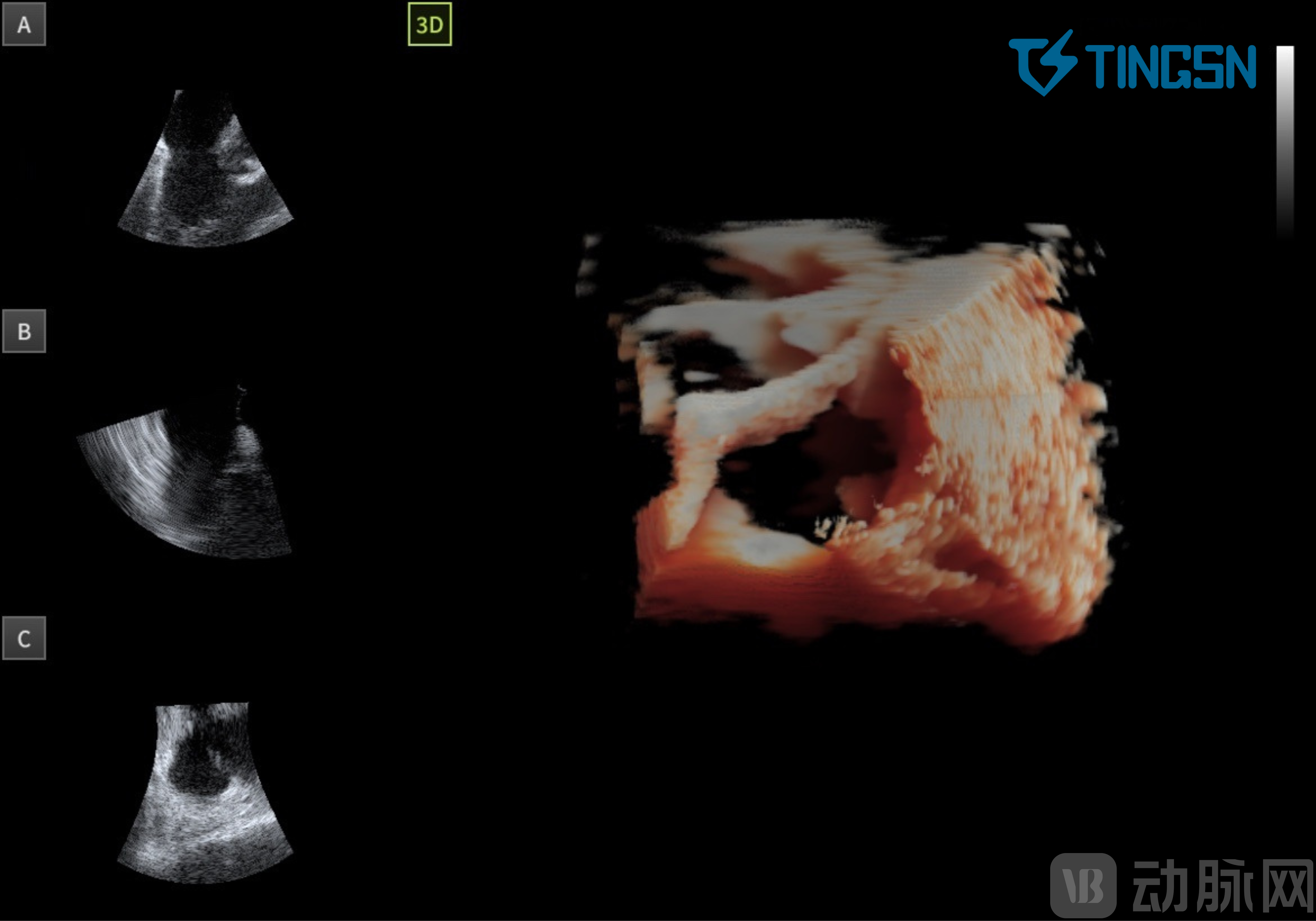
"重构的心腔内立体实时影像与心腔内二维超声影像精度匹配,同步实现360°全景观察。"孔祥清教授特别指出,"这种多维信息整合能力对降低并发症发生率和提高手术消融效率具有重要价值。"临床团队反馈,该设备在瓣膜反流评估、心耳分叶测量等关键环节的成像质量,已达到国际主流产品水平。
霆升科技总经理王静透露,此次临床研究顺利开展源于"十年磨一剑"的技术沉淀:从ASIC芯片的底层架构设计,到实现1mm轴向分辨率的自适应成像算法,研发团队突破性地将超声探头尺寸控制在2mm直径,同时保持高帧率成像能力。

02
破局立新,解锁心脏介入诊疗新维度
TINGSN 4D ICE系统通过整合ASIC电子矩阵换能器技术与高速容积重建算法,实现了心脏介入诊疗领域的影像技术突破,构建出高分辨率动态三维心脏模型,在复杂手术中展现出以下革新性优势:
● 智能测量与精准导航:集成实时三维空间坐标系,支持术中对封堵器、消融导管等器械的毫米级尺寸测量,使左心耳封堵术等操作减少83%的术前影像依赖。通过多平面重建技术,可同时观察卵圆窝解剖结构与消融径线,在房间隔穿刺中实现穿刺点定位误差<2mm的临床突破。
● 动态可视化手术流程优化:实时三维成像可以更加直观展现术中手术流程,优化房间隔穿刺过程,清晰显示消融导管头端与肺静脉的贴靠,在左心耳封堵术中明确左心耳形态以及手术器械与左心耳的位置关系,帮助术者快速定位操作、缩短手术时间并降低并发症,从而降低手术风险。
● 低辐射与便捷操作体系:搭配推车式彩色多普勒超声诊断仪,采用人体工程学设计与极简操作界面,大幅减少医患 X 射线暴露,优化临床工作流程。

01 心室收缩期 三尖瓣瓣叶呈闭合状态

02 心室舒张期 三尖瓣瓣叶呈开放状态

03 左心耳封堵

04 二尖瓣
03
行业突破,高端医疗影像开启自主创新时代
作为全球心血管介入治疗领域的革命性技术,4D心腔内超声(4D ICE)长期受制于海外技术垄断。近日,霆升科技自主研发的TINGSN 4D ICE超声成像系统顺利完成首例人体临床研究,标志着我国在心血管介入影像领域实现从跟跑到并跑的关键跨越。
该创新成果集结了多项硬核科技突破:霆升科技突破ASIC专用芯片架构设计、三维矩阵换能器精密制造、亚毫米级导管装配工艺等十余项卡脖子技术,成功构建起覆盖硬件设计、软件算法、系统集成的完整技术闭环。数据显示,TINGSN 4D ICE可实现1mm级组织分辨,配合智能影像工作站能实时构建心脏四维解剖模型,性能指标达到国际同类顶尖产品水平。
面对我国结构性及电生理心脏病介入手术量年均18%的快速增长态势(数据来源:国家心血管病中心),传统X射线引导方式已难以满足精准治疗需求。霆升科技临床团队负责人指出:"4D ICE系统可减少80%的辐射暴露,同时提供毫米级动态解剖导航,这对提升房颤消融、介入封堵和瓣膜修复置换等复杂心脏介入手术成功率具有里程碑意义。"
值得关注的是,该产品从芯片设计到换能器制造均实现完全自主可控,已构建40项发明专利保护群。据医疗器械行业协会专家分析,此次临床突破不仅为国产高端超声导管产业化奠定基础,更将重构数百亿级电生理及结构性手术市场格局,助力我国在精准医疗时代掌握核心影像设备话语权。
孔祥清 教授
江苏省人民医院

● 中共党员,主任医师(二级),教授(二级),博士生导师
● 国务院学位委员会第八届学科评议组成员。
● 享受国务院特殊津贴。国家百千万人才,首届全国创新争先奖状及全国五一劳动奖章获得者,江苏省333第一层次人才。
● 国之名医,全国医务名匠
● 现任南京医科大学第一附属医院(江苏省人民医院)心内科行政主任,教育部智能诊疗技术及器械工程研究中心主任,国家标准化心血管与代谢疾病中心主任,中华医学会心血管病学分会副主任委员。
● 国家重点研发计划和国家科技重大专项的首席科学家,从事心血管病诊疗器械医工交叉创新及心血管病因学研究工作,前瞻性原发高血压队列eHypertension发起人。
● 主持国家高技术研究发展项目(863计划)等国家及省部级项目10余项。发表研究论文400余篇。以第一完成人获得国家技术发明奖(二等),教育部科学技术奖(一等),江苏省科学技术奖(二等及三等),国际及国内授权专利40余件。
孙伟 教授
江苏省人民医院

● 医学博士、主任医师、教授、博士研究生导师。
● 江苏省人民医院心血管内科行政副主任
● 江苏省医学会高血压分会副主任委员,中华医学会心血管病分会青年委员,中国生物医学工程学会介入医学工程分会委员,中国研究型医院学会高血压专业委员会常务委员,江苏省医师协会高血压专业委员会委员,中国医师协会心血管内科医师分会代谢心脏病学组委员,江苏省安中医疗服务与健康管理研究院理事。
● 擅长高血压、结构性心脏病和心衰的药物和介入治疗
● 主持国家重点研发计划课题1项;国家自然基金面上项目1项;江苏省六大人才高峰B类;获省部级科技进步一等奖1项、二等奖2项;江苏省卫生厅新技术引进奖一等奖1项;南京市科技进步二等奖1项。近五年以第一作者和通讯作者在Nat Commun.,Sci Adv.,Cardiovasc Res.,Circ Heart Fail.等杂志发表SCI论文42篇。获发明专利授权10项,软件著作权4项。
张海锋 教授
江苏省人民医院

● 医学博士、主任医师、教授、博士研究生导师
● 南京医科大学第一附属医院(江苏省人民医院)老年心血管科副主任,兼任苏州市立医院心血管病中心副主任
● 主要从事结构性心脏病的介入诊疗,高血压与心力衰竭的临床与基础研究,肺血管介入诊疗工作。
● 2012年度江苏省高校“青蓝工程”优秀青年骨干教师培养对象,江苏省“333高层次人才培养工程”第三层次培养对象。
● 目前任中华医学会心血管病分会肺血管学组委员,中国高血压联盟理事,中华心血管病杂志通讯编委。
● 参加“中国肺高血压诊断和治疗指南2018”、“2020中国动态血压监测指南”、“急性肺栓塞多学科团队救治中国专家共识”、“a受体阻滞剂降压治疗中国专家共识”等多部指南或共识的编写,发表SCI论文20余篇。


















