2025年6月6日,海迈医疗科技(苏州)有限公司宣布公司旗下首个国产生物型人工血管LineMatrix耐迈通®FIM临床试验在浙江大学医学院附属邵逸夫医院肾内科与血液净化中心圆满完成随访。
该临床试验由浙江大学医学院附属邵逸夫医院肾内科与血液透析中心李华主任担任主要研究者,2024年9月24日首例植入并于2025年6月5日完成所有入组患者临床随访。李华主任表示:“LineMatrix耐迈通®生物型人工血管用于建立终末期肾脏病患者移植物动静脉内瘘临床效果优异,术后3月初级通畅率90.9%,累积通畅率100%,术后6月初级通畅率80.8%,累积通畅率100%,人工血管未引发人体免疫反应,无感染及动脉瘤等并发症发生,其性能明显优于ePTFE人工血管,所有患者均使用受试人工血管进行血液透析,初步证实LineMatrix耐迈通®生物型人工血管在人体内的安全性和有效性,后续会持续对患者进行随访。LineMatrix耐迈通®生物型人工血管通畅率高,传统ePTFE人工血管术后6月初级通畅率最高不超过50-60%,使用生物型人工血管显著减少患者术后干预次数,节省医保资金并极大减轻患者经济负担,为血管通路建立提供国产新方案,有望逐步替代传统ePTFE人工血管,惠及广大患者。”
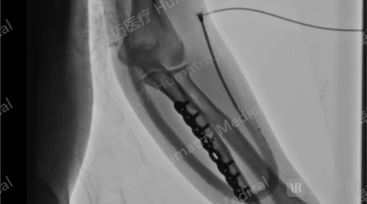
<滑动查看下一张图片>
临床试验患者使用LineMatrix耐迈通®生物型人工血管长期血液透析,血管造影通畅
海迈医疗科技(苏州)有限公司创始人邱雪峰教授感言:“本人2022年6月12日来苏州全职创业,带领初创团队3年内完成首个国产生物型人工血管临床试验,感谢公司所有成员努力拼搏与付出!感谢股东、苏州工业园区及bioBAY等各界给予大力支持!特别感谢临床试验PI团队给予的帮助与指导!”邱教授也宣布基于FIM研究优异临床结果,公司即将启动LineMatrix耐迈通®生物型人工血管全国多中心产品注册临床试验,快速推进“国产首个”生物型人工血管上市,实现下一代性能更优异人工血管的国产化替代。同时,公司正在开发全球First-in-class的3.5mm内径人工血管,已在羊心脏原位搭桥模型取得了突破性进展,将实现冠心病冠脉搭桥术50年以来手术方式及手术疗效的颠覆性变革!

海迈医疗科技(苏州)有限公司成立于2021年9月1日,是一家临床阶段的组织工程与再生医学平台技术公司,为国内唯一、全球第二家具备量产小口径(内径≤6mm)组织工程血管能力的企业,公司创始人华中科技大学附属协和医院心脏大血管外科邱雪峰教授先后留学加州大学伯克利分校、加州再生医学研究所(CIRM)、加州大学洛杉矶分校。公司专注于标准化大规模培养和生产小口径组织工程血管,该产品适应证包括慢性肾透析血管通路建立、下肢动脉外伤(包括战场血管损伤)血管替代、下肢动脉粥样硬化及冠状动脉搭桥术,在此技术平台上研发、生产其他再生医学产品,并扩大至全球范围的临床研究及商业化。公司已入选苏州工业园区领军人才、姑苏领军人才、江苏省人才计划、苏州市独角兽培育计划企业名单,2024年11月荣获工信部第十三届中国创新创业大赛生物医药全国总决赛第一名。过去3年公司已完成4轮融资,2024年5月建成2243平方米的C+A级别GMP生产车间及质检中心并投入使用,年产量超过3万根,首个国产生物型人工血管LineMatrix耐迈通®已进入临床试验阶段。





















