2021年7月14日,北京大学第三医院心外科主任凌云鹏携手心内科主任唐熠达,在心超科主任冯杰莉、心外科副主任杨航、麻醉科副主任郑清、心外科副主任医师郑慧萍的密切配合下,完成了由科凯生命科学自主研发的LIFECLIP®首例注册临床试验。
LIFECLIP®二尖瓣修复系统是全球第一款采用瓣膜组织引导修复设计的系统;是中国第一款采用鞘输一体化设计的二尖瓣修复系统;也是中国第一款全规格通过4亿次疲劳测试的二尖瓣修复系统。本次手术的成功也标志着LIFECLIP®大规模注册临床试验正式拉开帷幕,国产创新型二尖瓣介入器械迈入新的征程。

心脏团队进行术中操作

术前医生团队合照
病例简介:
患者,男,九旬老人,心超显示重度二尖瓣反流。北京大学第三医院心脏团队经过术前讨论,认为该患者外科手术高危,对其行二尖瓣瓣膜修复术。
手术基本情况:
手术于2021年7年14日14:20在心外科手术室进行,术后患者各项指标平稳,夹合部位良好,二尖瓣轻度反流,手术在2小时内顺利完成。

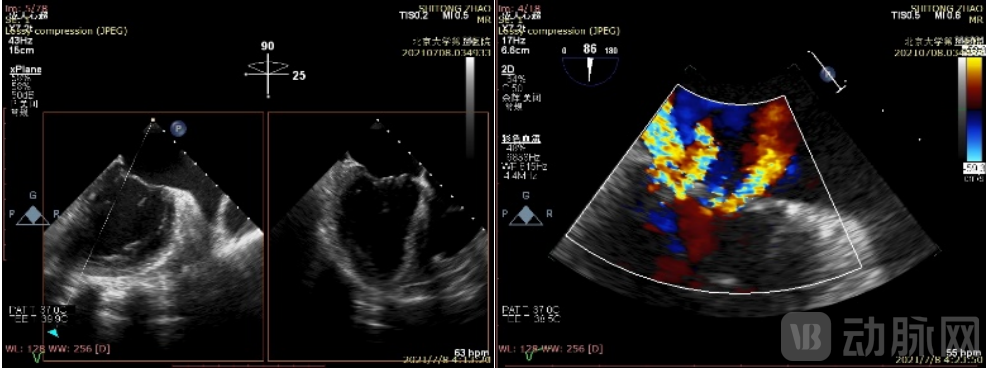
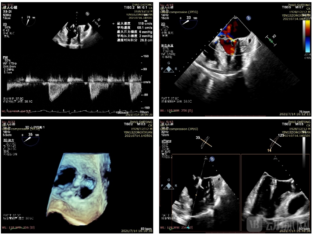
患者术前超声图(TEE)

患者术后超声图(TEE)

LIFECLIP®二尖瓣瓣膜修复系统
关于科凯生命科学
科凯生命科学是一家专注于结构性心脏病领域的医疗器械研发、生产和销售为一体的高新技术企业,开发针对不同人群、不同需求、不同场景瓣膜疾病的系统解决方案。公司技术团队主要以美国和德国归国研发人员为核心,在心脏医疗领域有近几十年的开发、研究经验,技术水平在国内处于绝对领先地位,同步于全球最先进的心脏医学治疗技术。公司2021年入选钟南山医学基金会等主办的中国创新医疗器械100强,并在2020年入选GEI中国潜在独角兽企业。


















