动脉网(微信号:vcbeat)第一时间获悉,基于半导体技术的X射线探测科技公司深圳帧观德芯科技有限公司完成数亿元C轮融资,由高达同道及国信资本联合投资。
公司主要业务为光子计数X射线探测技术及相关影像系统整机开发。此前,帧观德芯曾获北极光、中金资本、IDG、国科投资、建银国际等机构的多轮投资。本轮融资将用于探测器的进一步研发、医疗产品线的扩充、科研产品线的搭建以及销售体系的扩展。
光子计数起源于高能物理探测研究,是公认的下一代X射线探测技术;近年来,X射线领域国际巨头纷纷”跑步入场“,投入光子计数的技术研发。
帧观德芯是全球少数拥有光子计数技术并独立发展的企业。帧观德芯已于2020年在全球首先实现面阵型光子计数医疗影像设备的取证,光子计数乳腺摄影系统及牙科口内摄影系统更是于2021年年中就实现了批量生产及销售,领先诸国际巨头。
作为走自主创新模式的中国传感器芯片平台技术企业,帧观德芯是国内少有的从基础物理学原理引发源头技术创新、布局全产业链的硬科技企业;帧观德芯通过在半导体材料、芯片设计、封装工艺及算法上的大量投入,完整的掌握了光子计数的全系核心技术,同时申请了数百项国内外发明专利进行保护,并已获得了超百项授权。
帧观德芯光子计数探测器芯片及其算法均为自主研发,X射线通过被摄物体,由探测器阵列直接转化为电信号,由读出芯片(光子计数器)转化为数字信号,从而实现直接成像。与其他X射线成像技术相比,呈现超高清、高灰度、零暗噪声、高动态范围、完美线性度、超低功耗等一系列优势。

光子计数探测器及计数原理图

实验动物组织结构对比显示清晰

高动态范围及零暗噪声对比演示
(上排:CMOS传感器齿科实拍图 下排:帧观德芯光子计数齿科实拍图)
目前帧观德芯的医疗影像系统有包括乳腺摄影系统、牙科摄影系统以及一系列科研探测器,以下是整机图像及相关实拍图片。

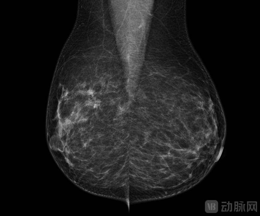
帧观德芯“清照”乳腺机及相关临床图像

乳房X线摄影:典型恶性肿块伴钙化
帧观德芯的牙科口内摄影系统可实现10万次以上的稳定成像,可即时成像、便捷上图,同时具有高性价比优势,助力牙科诊疗行业迅速推广数字化。


动态成像方面,帧观德芯与合作伙伴一起完成了光子计数探测器的小鼠动态影像。
除了传统的X射线吸收成像之外,光子计数探测器还在X线的衍射成像、相衬成像和荧光成像方面有着很大的用武之地,并且可以将这些成像方式民用化。例如X射线相衬成像中,搭配零暗噪声超高帧率光子计数探测器,将获得高衬度高灰度超清图像,获得更多软组织细节;在X射线荧光成像中,通过光子计数对荧光光谱的高分辨率识别,将有颠覆传统功能影像学的新一代影像装备出现。

左:X射线相称原理图 右:X射线吸收成像与相衬成像对比图
帧观德芯还提供各类中高探测速率及各种面积的科研用探测器,助力国内科研及自主知识产权科研仪器的研发;同时探测器在轻质材料探伤及建模方面也有广泛用途。

在科研仪器方面,帧观德芯在研管线包括纳米球管CT、衍射仪、荧光分析仪等。超高精度的纳米球管CT因为X线光通量低,对探测器精度和动态范围都要求颇高,光子计数是此类高精度科研仪器的首选探测器;在X射线衍射仪方面,光子计数面阵式衍射仪将比传统衍射仪效率提高数倍,德国布鲁克、日本理学等传统科仪厂商亦在大力布局光子计数领域;新一代光子计数X射线荧光分析仪可实现微小信号的能谱分辨,有效提升元素分析的准确性和扩大适用领域。
帧观德芯创始人曹培炎表示,光子计数技术是平台型技术,在医疗、科研、工业乃至农业都会带来颠覆式的创新产品,提升成像效率、降低成像成本,能够助力高质量医疗影像、高精密制造的发展。本次融资后,在继续深耕医疗产品线的同时,帧观德芯将会在X射线荧光成像、相衬成像探测等方向研发进一步加大投入,以确保在探测器领域的领先优势;帧观德芯还将展开在科研、工业领域的应用研发,如超高精度科研CT、X光衍射仪、荧光分析仪等。

















