近日,复旦大学附属中山医院葛均波院士团队成功应用由业聚医疗集团控股有限公司(“业聚医疗”)旗下自研的Scoreflex TRIO高压三导丝刻痕球囊导管系统,为一位65岁的冠脉重度狭窄伴钙化患者实施PCI介入治疗,手术非常成功,支架膨胀率90%且贴壁良好,患者术后无并发症发生。
该临床研究首例入组的顺利完成,标志着由复旦大学附属中山医院葛均波院士团队作为主要研究者的Scoreflex TRIO全国多中心注册临床研究正式启动。Scoreflex TRIO高压三导丝刻痕球囊导管系统首例术后,葛均波院士团队对产品性能进行了高度评价,认为产品为术者提供了一项安全、有效的治疗选择。
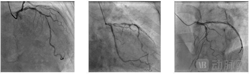
据悉,本次手术患者是一名65岁的男性,在2021年10月因突发胸痛至外院就诊,诊断为急性非ST段抬高型心肌梗死,行CAG+PCI术,术中见左室后支80-90%狭窄,LCX(左回旋支)近中段闭塞,于LCX植入支架2枚,2023年1月于左室后支行PTCA术。此前患者为复查冠脉造影到复旦大学附属中山医院就诊。
经评估,决定对该患者行高压三导丝刻痕球囊导管系统PCI介入术。经右侧桡动脉行冠脉造影,造影结果显示患者右冠优势型,前降支近段弥漫性病变,最重狭窄70%,前降支中段弥漫性病变,最重狭窄85%伴钙化,长度约30mm,直径3mm,TIMI血流III级;左回旋支近段、中段见支架影,支架内轻度内膜增生,未见再狭窄;左室后支中段狭窄70%;后降支开口狭窄95%,后降支中段狭窄70%。

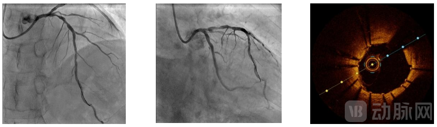
介入治疗靶病变为前降支中段,6F EBU3.5指引导管送至左冠口,将导丝分别送至前降支及第一对角支远段,于前降支送入OCT导管回撤行OCT检查可见脂质斑块,最小管腔面积为1.9mm²,遂决定进一步行前降支介入治疗。术中使用Scoreflex TRIO 2.5*15m球囊于病变处以8atm*10秒扩张,复查造影残余狭窄改善明显,残余狭窄小于30%,TIMI血流III级;于病变处植入支架一枚以10atm*10秒扩张释放,取非顺应性球囊于支架内16atm*10秒后扩张塑形,复查造影提示支架扩张满意,无残余狭窄,远端TIMI血流III级。
复查OCT提示前降支支架扩张满意,贴壁良好,支架膨胀率90%,手术成功。

术终患者血压138/82mmHg,心率64次/分,无并发症发生。

本次手术应用的业聚医疗旗下全资附属公司业聚医疗器械(深圳)有限公司自主原研的Scoreflex TRIO,这是首款国产冠脉三导丝刻痕球囊导管。该产品通过桡或股动脉路径将其沿导引导丝输送至冠状动脉的靶病变处,由球囊自带的两根固有导丝与导引导丝形成外部刻痕组件,可在球囊的管腔表面产生局部高压,使得球囊在较低压力下就能打开冠脉病变和扩张狭窄的冠状动脉,有效扩张病变,并且避免明显内膜撕裂及夹层形成,进而改善血流和心肌灌注。
Scoreflex TRIO三导丝刻痕球囊导管作为PCI手术中的预扩张球囊,其聚力纵向切割的扩张模式一方面较普通球囊扩张进一步降低残余狭窄,提高手术成功率;另一方面降低了血管内膜撕裂的发生率,减少血管损伤,降低炎症反应,提高手术安全性,降低再狭窄发生率。高压三导丝刻痕球囊导管利用集中、较低的扩张压力,对血管壁进行聚力纵向切割,而且其纵向切割方式为逐级递增的渐进式扩张切割模式,这种扩张切割模式可以最大程度减少血管内膜损伤,增加最小管腔直径,降低残余狭窄。
Scoreflex TRIO的操作方式可在最大程度上减少血管内膜损伤,提高手术安全性及成功率。Scoreflex TRIO已于2021年在日本上市,不仅于去年为业聚医疗的当地销售额带来可观增长,也为无数患者提供有效和安全的医疗解决方案。
业聚医疗已先后在中国内地推出Scoreflex及Scoreflex NC刻痕迹球囊,这两种产品分别是获国家药监局批准的首款刻痕迹球囊及首款高压刻痕迹球囊。随着Scoreflex TRIO于国内正式展开注册临床研究,相信业聚医疗未来将继续为中国内地患者提供更多治疗选择。
关于业聚医疗
业聚医疗是一家主要的全球医疗器械制造商,专门生产用于经皮冠状动脉介入治疗(PCI)及经皮腔内血管成形术(PTA)的介入器械。总部位于中国香港,业聚医疗的产品销往全球超过70个国家和地区。根据灼识咨询报告,就2021年PCI球囊的销量而言,集团亦是唯一一家总部设在中国,且在包括日本(排名第二)、欧洲(排名第四)及美国(排名第六)在内的所有主要海外PCI球囊市场排名前六的公司。此外,就2021年PTA球囊的销量而言,集团在日本市场排名第三,在美国市场排名第四。集团亦专攻冠状动脉支架产品,并积极将业务扩展至神经血管介入及结构性心脏病领域。截至2022年12月,业聚医疗在全球拥有超过180项授权专利。集团内部研发团队有逾20年积累的产品开发经验,并已开发出世界领先的专有技术。
关于葛均波
复旦大学附属中山医院心内科主任;中国科学院院士,中国心血管健康联盟主席,主任医师,教授,博士生导师,复旦大学附属中山医院心内科主任,心导管室主任,上海市心血管病研究所所长。世界心脏联盟常务理事,亚太介入心脏病学会主席,国际心脏病大会顾问委员会委员。致力于冠心病病人心肌微循环灌注障碍方面的研究,他对冠状动脉血流缓慢综合征的研究阐述了假性冠状动脉血流储备正常的机制,获九三学社抗击新冠肺炎疫情先进个人荣誉称号、全国先进工作者。

















