近日,复旦大学附属中山医院葛均波院士团队成功在新一代介入泵(NyokAssist®,心擎医疗)支持下为三支病变、左主干病变伴前降支慢性完全闭塞病变合并低左室射血分数患者完成高风险经皮冠脉手术(HRPCI)。本次高危PCI手术的顺利开展,初步证实了NyokAssist®新一代介入泵在辅助高危PCI手术中的安全性和有效性,代表世界最小介入式人工心脏正式迈向临床[1],具有重要里程碑意义。

病例资料
患者,男,48岁。术前诊断为冠状动脉粥样硬化性心脏病、心力衰竭、冠脉支架植入后、II型糖尿病。术前心超显示左房室增大伴左室整体收缩活动减弱,左室射血分数34%。
手术策略
患者既往冠脉三支病变、左主干病变伴前降支慢性完全闭塞病变,术前评估左心室射血功能差,病程复杂,手术风险高。团队评估术中可能会发生血流动力学障碍,需在机械循环辅助下进行手术,经家属同意后决定使用NyokAssist®新一代介入泵循环支持下开展PCI手术。
手术过程
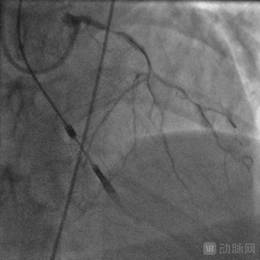
术中造影显示左主干远段原植入支架内再狭窄85%。前降支近段狭窄80%,前降支中段完全闭塞。第一对角支开口狭窄99%,第二对角支中段狭窄50%。左回旋支细小,开口完全闭塞。右冠状动脉近中段原植入支架内通畅,远段狭窄50%。
经过充分的术前评估,葛均波院士及其团队经右股动脉置入9F介入鞘,而后送入NyokAssist®至工作位后启动装置提供循环辅助支持并维持3.0 L/min流量,动脉血压由泵启动前85/50 mmHg升至120/80 mmHg左右,持续维持并开始PCI手术。

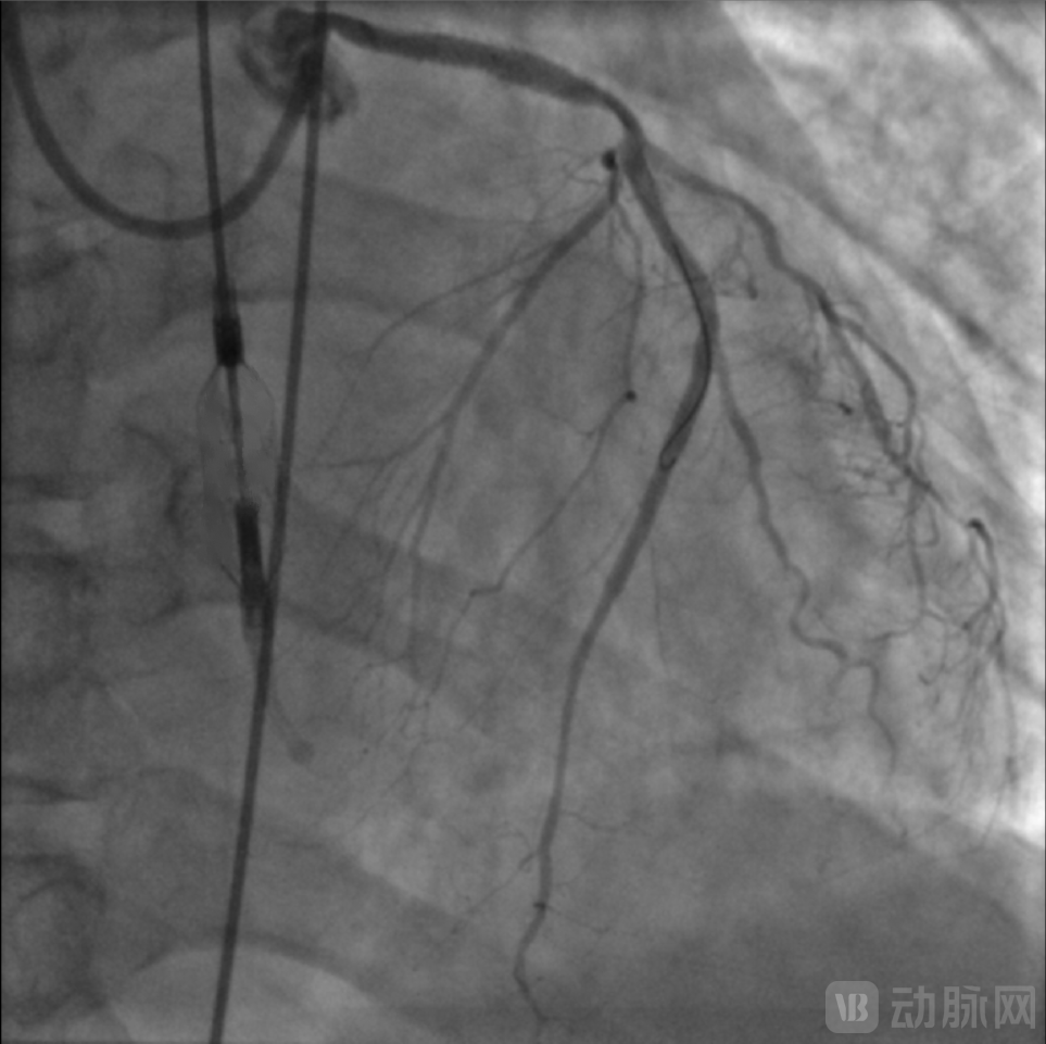
取EBU3.5指引导管至左冠口,在Expressman延伸导管及130cm APT微导管辅助下,采用Fielder XT-R导丝成功通过闭塞段送至前降支远段。取2.0*20mm、2.5*20mm球囊于前降支近段-远段病变处预扩张,前降支远段-近段串联植入2根支架。最后取2.0*20mm球囊于第一对角支开口病变处扩张。

Wolverine(3.5*10mm)切割球囊于左主干病变处扩张,取Bingo(3.5*20mm)药物球囊扩张释放药物,造影见病变扩张满意,无残余狭窄。

复查造影提示支架扩张满意,第一对角支残余狭窄<30%,前降支中段至远段无残余狭窄,TIMI血流3级。手术过程流畅,NyokAssist®操作便捷,过弓、跨瓣性能优异,术中患者血压平稳,心超显示介入泵位置良好稳定,主动脉瓣及二尖瓣未见反流加重。
术后介入泵顺利回撤至鞘内撤出,仅使用单把ProGlide缝合器完成股动脉穿刺处止血,患者6小时后即下床活动,无血管并发症。术后患者恢复良好,血常规、肝肾功能等指标均未见明显异常,术后动脉血压维持在130/80 mmHg,术后心超显示左室射血分数改善至36%,未见主动脉瓣及二尖瓣损伤,2天后患者出院。
近年来,我国冠脉介入领域发展逐渐成熟,年PCI手术量超百万例,其中高危PCI手术占比约10%,这类手术风险大、患者死亡率高,临床上始终缺乏安全有效的术中保护手段。介入式人工心脏是维持患者术中血流动力学的稳定,保障手术成功及影响预后的关键。NyokAssist®经导管心室辅助系统是由复旦大学附属中山医院葛均波院士团队与心擎医疗响应国家号召、通过医工交叉实现融合创新的新一代介入泵。NyokAssist®介入尺寸仅有9Fr,同时可以提供均值3.5 L/min以上的流量,安全性及有效性得到了有效的保障。本产品采用可折叠叶轮、电机外置等多项核心创新,成功突破多项“卡脖子”技术,实现国际上的弯道超车,不久前刚被美国FDA授予“突破性设备”的认定。随着该款新一代介入泵临床试验的有序开展,将填补国内的临床空白,引领国内创新走向全球,造福更多的患者。
专家简介
葛均波
复旦大学附属中山医院
参考文献:
[1] Bhuiyan, R., Bimal, T., Fishbein, J., Bandotra, P., Selim , S., Ong, L., & Gruberg, L. (2023, May 8). Percutaneous Coronary Intervention with Impella Support with and without Intra-Aortic Balloon in Cardiogenic Shock Patients. ScienceDiret.


















