动脉网第一时间获悉,霆升科技宣布完成近亿元B+轮融资,由倚锋资本领投,原有股东方启明创投、黄埔医药基金跟投,本轮融资由星桥资本担任独家财务顾问。
值得关注的是,霆升科技于4月29日成功完成中国首例4D ICE人体临床研究,这一突破不仅标志着中国企业在心血管介入影像领域实现了从"跟跑"到"并跑"的关键跨越,更印证了霆升科技从首款国产2D ICE导管到4D ICE的全链条自主创新体系已构建成熟。

本轮融资资金将进一步加大4D心腔内超声(4D ICE)的研发及临床投入,为即将开展的工艺量产做好充分的准备。
近年来,心脏内超声(ICE)赛道呈快速增长态势,2D ICE全球市场规模预计在2025年突破14亿美元,年复合增长率维持在12%以上。
过去十年,中国心腔内超声导管市场主要由外企品牌垄断。不过,霆升科技于2023年11月推出了国产首款获批的2D ICE产品。自此开始,一场由国产力量主导的“破壁之战”悄然打响。

(霆升科技自主研发的首款国产心腔内超声)
目前,心腔内超声(ICE)产品已正式纳入国内集采目录。最新数据显示,已有4家国内企业成功获批7张2D ICE产品的中国国家药品监督管理局(NMPA)注册证,其中霆升科技以4张注册证占据半数以上份额,充分彰显了其在该领域的技术领先地位和市场主导优势。
随着市场潜力逐步释放,预计未来1-2年内心腔内超声赛道将迎来更多国产厂商入局。但受国内准入环境、集采政策、临床使用习惯等综合影响,早期获批企业(含进口品牌)有望依靠先发优势把握住入院窗口机会,占据大部分市场份额,形成行业马太效应。
从产业视角深入剖析心腔内超声赛道,影像质量是企业生存发展的基础,规模化生产成本控制是核心竞争力,商业化能力是关键要素。霆升科技凭借高质量的图像质量、规模化的成本优势、经验丰富的营销团队,正加速技术落地,服务更多病患。
ICE主要用于电生理以及结构性心脏病介入治疗。
2024年中国电生理手术量已经超过30万例,市场规模超百亿。全球结构心手术量也在快速增长,2024年仅爱德华一家TAVR收入就超过40亿美元。
随着临床需求端的持续放大,传统2D ICE在复杂结构性心脏病及电生理手术中已显现出局限性,部分手术场景难以满足实际应用需求。
此种背景下,基于ASIC 芯片的 4D ICE 临床应用价值正在逐步被证实和加强。4D ICE 既可运用于 2D ICE 的所有手术场景,又可以在 2D ICE 无法解决的手术场景上进行精准的影像指导。4D ICE为临床医生提供的心脏实时三维立体的影像,会给产业带来全新的发展视角,真正从二维走向实时三维。

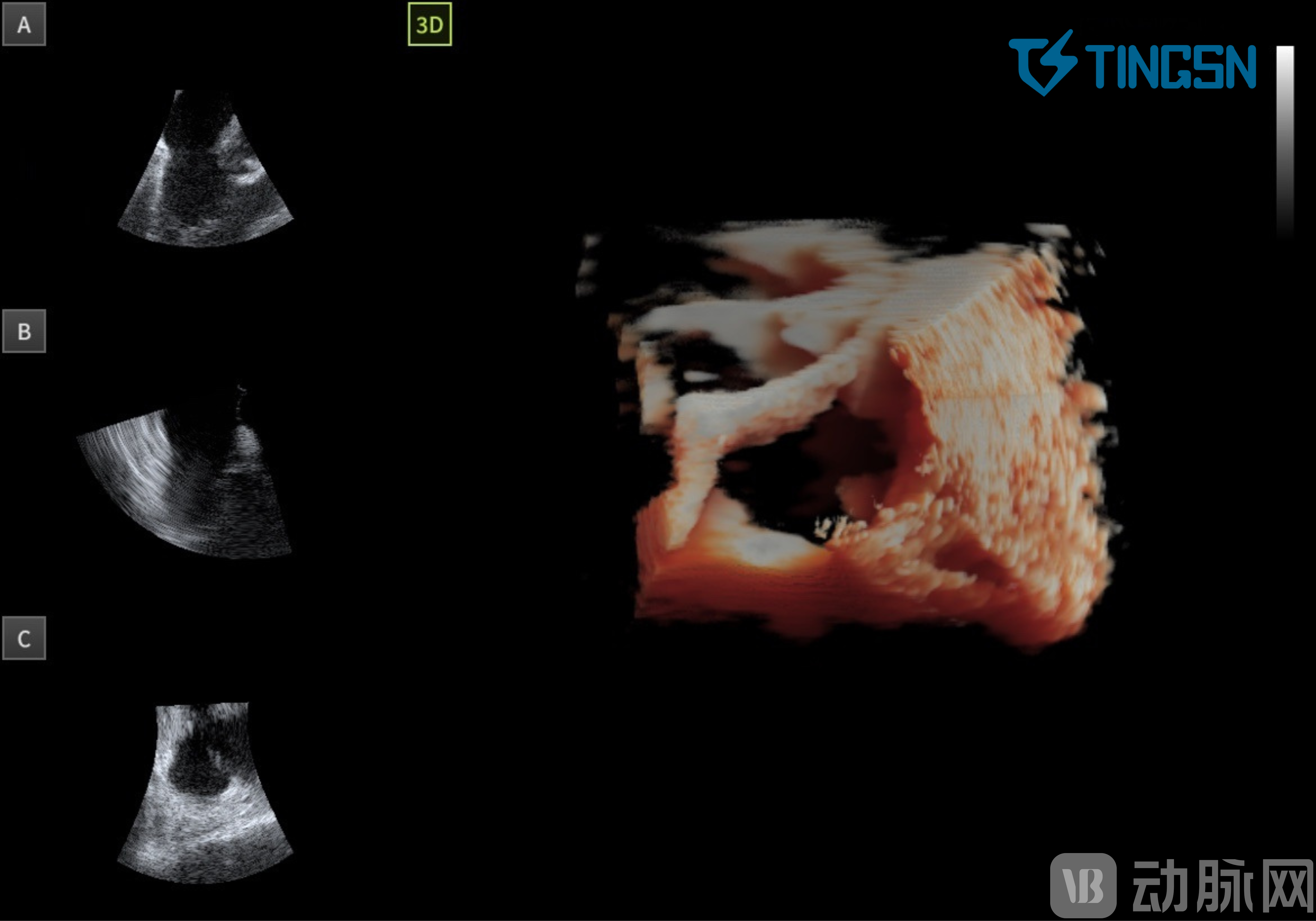
(实时三维立体影像,心室舒张期三尖瓣瓣叶呈开放状态)
从海外发展来看,目前 4D ICE 主要应用在左心耳封堵、二尖瓣修复手术、三尖瓣修复手术、经导管主动脉瓣置换手术、房颤射频消融手术、PFA 消融手术、冷冻消融手术、复杂的先天性心脏病手术等。
另外,对于刚上市获批的二尖瓣及三尖瓣置换手术等更复杂手术,4D ICE也更有用武之地。在结构性心脏病手术及电生理手术这两大主要心血管疾病手术场景中,随着终端价格的下降,未来 4D ICE 有望逐步替代 2D ICE 及 TEE 成为临床主用影像器械。
4D ICE凭借动态四维影像助力术者快速定位,降低并发症风险,提高手术安全性,为复杂心脏介入手术提供全新解决方案。
当下,全球目前真正完成 ASIC 集成 4D ICE 研发且进入临床试验阶段的企业仅三家:即飞利浦、强生、以及霆升科技。霆升科技是国内唯一一家完成 ASIC 集成 4D ICE 研发且进入临床阶段的企业。
要实现4D ICE的成功研发,首先需要攻克包括 ASIC 芯片研发、ASIC 设计与超声换能器设计、合格的 4D ICE 芯片流片等一系列超高难度的复杂技术难题,且完成一次合格的 4D ICE ASIC交付至少需要3次及以上流片,单次 ASIC 设计及流片成本将近1000多万元。这是一个长周期高投入高风险的技术方向。
完成ASIC流片仅是起点,构建高端换能器制造体系才是实现产品化的关键。该体系将完成ASIC-面阵换能器的微米级精密切割与粘合、批量化稳定声学性能的输出。
目前全球仅4家工厂具备该技术能力,其中有3家位于海外,分别是韩国西门子工厂(即强生)、欧洲雅培工厂、美国飞利浦工厂,中国则拥有唯一一家此类企业:霆升科技,它也是中国唯一一家可自主实现心腔内超声换能器批量化投产的场地。
值得注意的是,建设此类高端换能器制造体系的建设至少需要耗资 5000 万元,且需要配备完整的换能器及材料方向人才梯队,因此这是一个需要长期高投入的技术方向。
要真正实现4D ICE的优质成像,仅完成探头制造是远远不够的,更需要超声主机的深度协同开发。目前国内具备ASIC芯片适配能力的4D心脏超声主机极为稀缺,仅有1-2家能够满足技术要求。4D 心脏成像超声系统在这个方向的人力及算法投入亦是巨大的。
霆升科技在上述3个方向的布局与技术积累均已完成,领先优势明显,拥有充足的技术代差优势及时间优势。近期,霆升科技完成的近亿元 B+轮融资,将进一步巩固其在 4D ICE 的研发及临床投入,早日将4D ICE推向市场。
霆升科技CEO张冬宇表示:4D ICE代表着心血管介入影像技术的顶尖高度,团队能在4年内成功完成该产品的开发并顺利完成首例人体临床试验,得益于霆升科技扎实的底层技术积累、充足的研发投入保障及卓越高效的团队执行力。4D ICE的成功研发,为公司未来的发展注入了强劲动力,将显著提升公司在全球市场的竞争力,标志着团队在实现"成为具有影响力的医疗器械中国制造品牌"的愿景上迈出了坚实一步。
倚锋资本董事总经理范融奎表示:心腔内介入超声(ICE)作为各种心脏电生理与结构心介入手术的“眼睛”,已不断取得临床认可。产品整体技术壁垒高,目前处于国产替代的前夜。霆升科技团队拥有强大的医工结合和创新能力、深厚的技术积累和工程转化能力以及丰富的商业化经验和执行力,核心产品2D ICE为国产首家通过医疗器械绿色通道获证的产品并迅速取得较好的商业化成绩,4D ICE率先完成首例人体研究,并在底层核心零部件供应链自主开发上取得重大突破,有望在未来竞争中最大化其成本和差异化优势。倚锋资本看好霆升科技作为心腔内介入超声领域的领军企业,持续引领行业智能化发展。
星桥资本负责人郭恺表示:霆升科技作为国内心腔内超声的领军企业,从2D ICE到4D ICE,从国产首个实现换能器自研自产到完成ASIC芯片流片,7年间完成数个“零的突破”,实现真正意义上的国产替代,技术引领伴随中国电生理相关领域的高速增长,相信霆升一定会在更广阔的舞台持续绽放光彩!

2024年江苏省潜在独角兽企业,由超声领域资深科学家、心内科医师和连续创业者共同创立,总部位于中国南京,在中美两地设有研发中心,由国家重点工程A类人才(海归博士)牵头组建了一支国际化的研发团队,并与全球知名临床团队及国内顶级声学科研机构进行深度合作。公司聚焦超声在心脏电生理和结构性心脏病方向的技术创新,通过成像、标测、消融能量的联合应用,立志于让更多心脏疾病患者获得更有效的治疗。
倚锋资本是国内最早的一批生物医药专业投资机构,投资团队由一批来自国内外顶尖院校的生物医药专业博士组成,专注于全球生物医药VC/PE投资,深度筛选并投资了微芯生物、前沿生物、亚盛医药、普门科技、禾元生物、和元生物、亚虹医药、和铂医药、北芯生命、思路迪医药、荃信生物、天勤生物、华昊中天、真实生物等100余家境内外优质企业。凭借出色的投资业绩和卓越的投研实力,倚锋资本屡获业界殊荣,多次揽获包括清科·年度中国医疗健康领域投资机构30强、清科·中国创业投资机构100强、投中榜·年度最佳退出案例TOP10、投中榜·年度最佳生物医药投资机构TOP10、投中榜·年度粤港澳大湾区最佳创业投资机构TOP30、母基金·年度最佳医疗健康领域投资机构TOP30、中国最具活力的药物创新投资机构等荣誉,连续多年被评为“深圳市十佳创投机构”,曾受到世界顶级期刊《Nature》专访。
倚锋旨在以资本推动生物科技成果产业化。经过数年的积累,倚锋形成“以创业者为中心,以价值创造者为本”的理念,打造出一支经验丰富、特色鲜明的专业化投资团队,并坚持投资、融资、风控、管理、服务 “五位一体”系统化运营,致力于成为以人为本、值得信赖、基业长青的卓越投资机构。
启明创投成立于2006年。目前,启明创投旗下管理11只美元基金,7只人民币基金,已募管理资产总额达到95亿美元。自成立至今,专注于投资科技及消费(Technology and Consumer, T&C)、医疗健康(Healthcare)等行业早期和成长期的优秀企业。截至目前,启明创投已投资超过580家高速成长的创新企业,其中有超过210家分别在美国纽交所、纳斯达克,香港交易所,上交所及深交所等交易所上市,或通过并购等方式退出,有80多家企业成为行业公认的独角兽或超级独角兽企业。
启明创投投资企业中,很多已经成长为各自领域中最具影响力的公司,包括小米集团(01810.HK)、美团(03690.HK)、哔哩哔哩(NASDAQ:BILI, 09626.HK)、知乎(NYSE:ZH, 02390.HK)、石头科技(688169.SH)、优必选(09880.HK)、文远知行(NASDAQ:WRD)、甘李药业(603087.SH)、泰格医药(300347.SZ, 03347.HK)、再鼎医药(NASDAQ:ZLAB, 09688.HK)、康希诺生物(688185.SH, 06185.HK)、Schrödinger(NASDAQ:SDGR)、惠泰医疗(688617.SH)、三友医疗(688085.SH)、艾德生物(300685.SZ)、贝瑞基因(000710.SZ)、神州细胞(688520.SH)、圆心科技、英矽智能、宜联生物、礼新医药、智谱AI、阶跃星辰、壁仞科技等。
黄埔医药基金是一家专业的私募股权投资管理机构,主要发起人为广州开发区控股集团、力鼎资本、百济神州、国聚创投,专注生命科学领域和医疗健康产业投资,在生物药、创新医疗器械、合成生物等领域广泛投资布局。旗下基金依托百济神州生物药研发优势,立足粤港澳大湾区,承接中国乃至全球学术资源,致力于生命科学、创新医疗及合成生物项目的孵化赋能,与杰出的创业者紧密合作,共创一流产品,为人类战胜疾病促进健康造福。
星桥资本是由业内资深团队组成的中国医疗健康产业投行,专注于为医疗企业提供卓越的融资服务和并购重组复杂交易的解决方案。凭借团队的深厚行业经验和敏锐洞察力,我们致力于搭建企业与资本的桥梁,助力企业的发展。


















