近日,东软医疗自主研发的1024层全景多模态CT“NeuViz 1024”正式通过国家药品监督管理局审批,获准在中国市场上市,成为全球首个通过市场准入的“千层”CT。

NeuViz 1024注册证基本信息
这是继今年8月拿下国内首台宽体光子计数CT注册证后,东软医疗又一次实现了重大突破。在CT这一领域,以东软医疗为代表的一系列中国高端制造,已经成功跻身全球最领先行列。
据悉,NeuViz 1024搭载了从探测器到重建算法的高清影像链,0.3125mm超薄层厚,分辨率可达46.5 lp/cm(佳能光子计数CT TSX-501R对外公布的空间分辨率为40 lp/cm),在传统能量积分探测器平台上,实现了光子计数级别的显微细节。
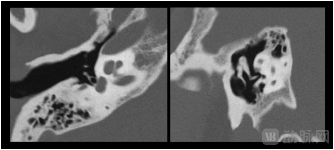
东软医疗公布的部分影像数据就显示,NeuViz 1024能够清晰显示耳、口腔、骨小梁等细微的身体结构,进而为更深层次的精准诊疗、科研探索提供新的工具支撑。
NeuViz 1024内耳听小骨成像
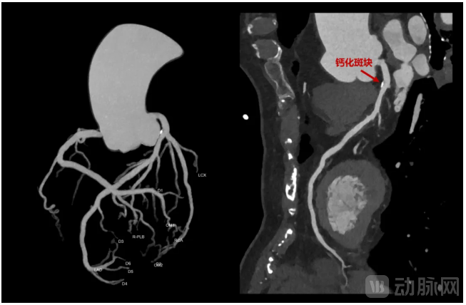
此外,NeuViz 1024还搭载了16cm的超宽探测器。这一应用所呈现的效果是:在心脏成像领域,单圈扫描便可覆盖全心,结合高清画质,既能“冻结”心脏的瞬间跳动,又能清晰呈现冠脉内细微斑块与结构;在胸部扫描时,一次扫描便能进行肺部大范围血管成像时,既能提升患者的舒适性与安全性,又有效提升了肺栓塞等疾病的准确性与诊断效率。
冠脉钙化斑块高清成像
不过,既然8月通过准入的初代光子计数CT P10已经在分辨 率、剂量、 能量等方面建立优势,紧握“下一代CT”之名,传统EID却受限于硬件物理限制,难以再取得进一步的突破。那么,东软医疗为何还要保留传统EID路径,开发这样一款千层CT?
从探测器技术路径层面进行探讨,光子计数CT的PCD虽在发展潜力方面远胜于传统EID,但在短期之内,传统EID仍有可能在分辨率、剂量等方面赶上这一代的光子计数CT。
公众号“神哥说”在《为什么说,千层CT仍然具备较长历史时间内的积极意义》一文中预测:至少还有8—10年时间,传统EID探测器仍有同光子计数CT抗衡的能力。
在其看来:神经网络的引入和深度学习的加持延续了传统EID的生命力。在AI的加持下,传统EID能够解决DSA剂量和图像、CT低剂量和噪声、CT超薄层厚带来的低密度对比损失等矛盾。可利用已有的优质数据做训练集,赋能给低条件的现实,AI能够再现高质量的影像,可谓一种合理合法的“作弊”。
回到NeuViz 1024中,这台CT便是通过搭载AI解决了众多“两难”困境。譬如,AI能在极小的像素尺度上智能去除干扰杂讯,既大幅降低了辐射剂量,又完整保留了身体结构细节。
此外,高端算力引擎的发展使得超高层影像的后处理变得效率上可行,即便是处理1024甚至2048大矩阵的海量数据,也能快速完成图像重建,让医生实时查看清晰影像。
总的来说,目前的光子计数CT较超高端EID CT具备一定低剂量、高分辨的优势,但NeuViz 1024借助AI的辅助,确实能够实现对等的能力,甚至还能在工作流方面给予医生更好体验,优于光子计数CT。
再看生产层面。光子计数CT的PCD采用碲化镉(CdTe)、碲锌镉(CZT)等宽禁带半导体材料,能够直接将沉积的X射线能量转换为电信号,无需使用反射隔栅。因此,使用PCD允许在不损害几何检测效率的情况下显著减小探测器像素尺寸,光电吸收占比可超过95%,使得光子计数CT能在分辨率、能量等方面与高端PID CT拉开差距。
但宽禁带半导体材料量产难度极大。在自然界中,CdTe需要300万年才能生成;CZT则不存在于自然界,需要满足极端条件才能合成。
如今的光子计数CT销冠西门子医疗花了超过10年时间,斥资超6亿欧元,才得以突破CdTe量产技术。2023年,西门子医疗又投资8000万欧元在德国福希海姆建设全新的半导体工厂,预计2026年投入运营,进一步扩大量产规模。
东软医疗、联影医疗都以CZT作为探测器原料,但由于双方在确认路径、研发再到如今获批都要晚一些,且国内能够量产CZT的企业极为有限,因而可以推断:他们要实现满足国内市场需求的量产,还需要相当长一段时间。
不过,如今的影像设备市场可能不会给他们太多的时间。2025年以来,四川、河南、河北、新疆等各大省市相继启动医疗设备集采,“以价换量”快速实现旧设备更新与新机构覆盖。
集采降价不分品牌、种类、品次,中低端降幅大于中高端,上半年尤为惨烈。以县域医共体设备更新为例,200万一台的1.5T磁共振,100万一台的64排CT,不到50万一台的全身超声,使医疗设备的价格逼近设备本身的成本,几乎榨干了所有降价空间。
相较之下,高端超高端设备的集采情形在可控范围内。这类设备本身毛利高,销量小;集采价格降幅有限还提升了销量,因此集采并未对企业造成太大消极影响。
以浙江省卫健委的超高端CT采购项目为例,GE 256排量子CT Revolution Apex Expert单价1593.7万元,一次卖了4台,较2024年公开招投标价格下降21.3%—37.1%,联影320排uCT960的降幅稍多一些,单价989万元一台,一次卖了3台,降幅为37.4%—41.1%。
对于国内所有的影像设备企业而言,集采都可视作一条分水岭。疫情时期对于CT、MR等设备的过量采购已经导致国内中低端市场有所饱和。今年的集采更是一场洗牌:当低端设备失去利润,押注高端,是企业持续发展的唯一途径。
其实在今年集采发生前,跨国企业已经大幅缩减了中低端市场的投入,将资源向中高端市场倾斜。尤其是西门子医疗,即便面对下行经济周期与贸易冲突,其中国区的收入也没有出现过于明显的下滑。
对于东软医疗、联影医疗而言,两家企业在2022年前实现的销售收入的飞涨都依赖他们在中低端市场的快速落地,也凭借这些市场的输血成功在高端市场站稳脚跟。
如今他们还需要进一步提高高端设备对销售总量的贡献程度。伴随集采趋近饱和,要维持增长,高端、超高端设备必须扛起大旗。
需要注意的是,2026年的高端、超高端CT市场必定火热。11月GE医疗的深硅光子计数CT(Photonova Spectra)已向FDA510(k)上市前通知,国内先导医疗的光子计数CT也可能在准入方面完成破局。
在光子计数CT突破量产及市场验证前,NeuViz 1024需要扛起过渡期的压力,帮助东软医疗坐稳超高端市场,直至新时代的来临。

















