“癌细胞膜相对于健康组织的流动性更强,或许可以利用一种新的药物输送技术。”
2012年,Lewis H. Bender带着这样的想法创建了Intensity Therapeutics(以下简称Intensity)。在不到五年的时间里,这个简单的想法蜕变成为一种抗癌候选药物,跨越了两阶段的临床试验。
然而,从成立至今,Intensity在三轮融资中仅筹集了1150万美元,这些钱远不够药物的研发开销,更谈不上推进商业化。目前,Intensity还在申请IPO,拟募资金810万美元。
它是在市场上不被待见的Biotech,它也是与默克公司、百时美施贵宝公司(Bristol Myers Squibb,以下简称BMS)进行管线开发合作的“潜力股”。它的故事更像早一代Biotech的缩影,埋头苦干,做科研的赌徒。
Intensity是一家处于临床阶段的生物技术公司,总部设在美国康涅狄格州,希望通过开发较小副作用的抗癌药物,来减弱肿瘤,从而帮助患者延长寿命,提高生活质量。
它似乎从创建开始便显露出了不合时宜的执拗。在一众Biotech纷纷建立多管线,以降低研发风险时,Intensity决心通过主导候选药品INT230-6进入市场,从此专注开发这一款产品。
在介绍INT230-6前,我们不可避免地会先提到Intensity专有的技术平台DfuseRx。
DfuseRx能够在提高治疗剂吸收率的情况下,将治疗剂直接注射到实体瘤中。一旦注射,DfuseRx能够使注射的药物溶液扩散到整个肿瘤,并有可能将药物传递至癌细胞内。
Intensity 2020年发表在《International Journal of Molecular Sciences》上的数据显示,DfuseRx使药品分散在整个肿瘤中,并增加了癌症细胞内强效药物的浓度。基于DfuseRx的药物治疗能够有效地杀死肿瘤,引发针对突变细胞的适应性免疫反应。
正是基于DfuseRx平台的肿瘤内递送治疗技术,INT230-6才得以在治疗中发挥作用。
主导候选药品INT230-6则由两种经证实的抗癌细胞毒性药物组成,即顺铂(cisplatin)和硫酸长春碱(vinblastine sulfate),并与两亲性分子(SHAO)混合均装在一个小瓶中。

INT230-6外观图
图片来源:Intensity Therapeutics官网
针对不同类型的转移性癌症,Intensity建立了多个与INT230-6相关的管线。与此同时,Intensity也打开了一个巨大的市场。光是在研的晚期软组织肉瘤管线就有可能给Intensity带来上亿的市场空间。
根据Grand View Research的2018年市场研究报告,全球肉瘤药物市场估计在2017年为7.03亿美元,预计到2023年将增长到11亿美元。预计2018——2023年复合年增长率为8.5%。Intensity的候选药物也可能适用于其他大型癌症治疗市场。
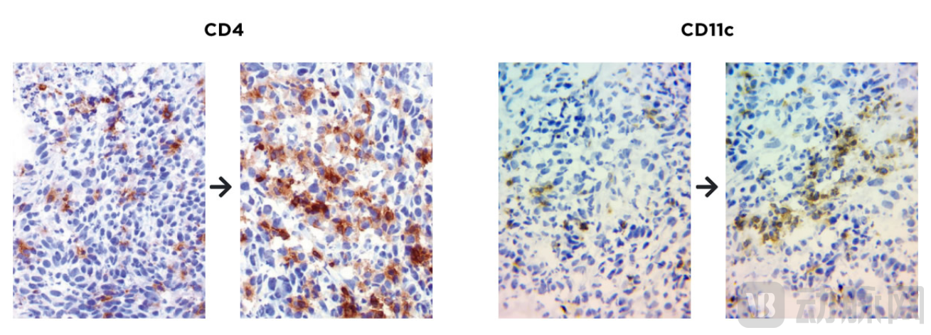
2017年,Intensity在美国和加拿大启动了一项使用INT230-6的Ⅰ/Ⅱ期剂量递增研究(IT-01研究)。临床前实验和临床试验中的数据表明,INT230-6在注射的肿瘤中分散广泛,能够被很好地吸收,并将有效的药物传递到肿瘤细胞中,杀死肿瘤细胞,同时激活全身免疫反应以抗击癌症。此外,INT230-6可以以较小的毒性延长患者寿命。

给药后约10天未治疗和INT230-6治疗的结肠-26肿瘤的IHC分析
图片来源:Intensity Therapeutics官网
2021年,Intensity与渥太华医院研究所和安大略癌症研究所签署协议,对早期乳腺癌患者进行随机对照新辅助治疗Ⅱ期研究(INVINCIBLE研究),以此评估INT230-6作为早期乳腺癌手术前的治疗方法。
安大略省癌症研究所Angel Arnaout教授提到,乳腺癌症的诊断对患者来说是一种创伤体验。手术前有一段等待期,这个时期可能会持续数周。而目前在等待期内没有治疗选择,外科医生和患者可能会在这段时间感到无能为力。
INT230-6作为一种将药物直接注射到肿瘤中的新药物方法,能够在手术等待期内使用。INVINCIBLE研究数据证明,INT230-6在患者从诊断到手术的窗口期内,能够导致术前乳腺癌症肿瘤100%坏死。通路富集分析显示T细胞活化、淋巴细胞活化和炎症反应发生了变化。
截至2021年9月30日,在IT-01研究和INVINCIBLE研究中,Intensity已经治疗了115名患者。
研发资金的有限,让Intensity学会了妥善管理成本——它选择保持独立的知识产权的同时,与私人、企业或政府展开合作,充分利用对方的实验室资源。
这一选择或许与创始人兼首席执行官 Lewis H. Bender有关。Bender拥有超过28年的生物治疗领导经验,在成立Intensity之前,他曾担任过首席执行官总裁、首席技术官、业务发展高级副总裁等职位。在这期间,Bender擅长利用合资企业、许可证和研究合作协议等方法,与大型制药和生物技术公司建立合作伙伴关系。
早在2014年,美国国家卫生研究院国家癌症研究所疫苗分会就曾与Intensity达成合作研发协议(CRADA),探索Intensity产品引发癌症免疫反应的过程。最终协作发出两份同行评审出版物,分别发表在《International Journal of Molecular Sciences》和《Oncolmmunology》期刊上。
为了探究INT230-6与其他药物的合作组合效果,Intensity与默克公司、BMS合作建设了不同的管线:

Intensity目前建立的管线
图片来源:Intensity Therapeutics官网
2019年,Intensity与默克公司执行了一项临床合作协议,评估INT230-6和默克公司的pembrolizumab药物治疗晚期实体恶性肿瘤患者的组合效果。其正在进行的Ⅰ/Ⅱ期临床试验的数据证明,INT230-6无论是作为单一疗法还是与 pembrolizumab 联合,均具有疗效和耐受性。其中,使用RECIST标准,INT230-6单药治疗50天以上的DCR(疾病控制率)为50.9%;INT230-6与pembrolizumab联合用药的DCR为47.6%。
2020年,Intensity与BMS签署临床合作协议,评估INT230-6与BMS的免疫检查点阻滞剂ipilimumab在晚期肉瘤、乳腺癌和肝癌患者中的联合应用效果。初步数据表明,INT230-6作为单一疗法或与ipilimumab联合使用,可在软组织肉瘤(STS)中直接杀死肿瘤,并在注射的肿瘤中引发抗癌免疫反应。此外,一项探索性分析表明,在接受INT230-6处理的肿瘤负担达到或超过40%的患者中,与该患者群体的历史基准相比,总体生存率有所提高。
与拥有大量的财务、技术和其他资源的竞争对手相比,Intensity的财力显得微不足道。
Intensity披露的招股书显示,截至2021年9月30日,Intensity的研发费用超过440万美元,同比增长21.2%。而自成立以来,Intensity每年都出现净亏损,截至2021年9月30日,其累计赤字为2870万美元。在截至2021年9月30日的9个月以及2020财年和2019财年,Intensity净亏损分别为550万美元、600万美元和540万美元。
截至2021年9月30日,Intensity的现金及现金等价物以及投资为740万美元。此外,Intensity通过创始人的初始投资以及私人股本融资等途径筹集了3210万美元。Intensity表示,现金流储备加上计划IPO发行的净收益,足以满足其到2023年9月的业务和资本支出需求。

Intensity披露的营收情况
图片来源:sec.gov
但在Intensity看来,影响其候选产品开发和商业成功的关键竞争因素是疗效、安全性、耐受性、可靠性、便利性、价格和报销。
许多竞争对手也在尝试开发肿瘤内递送疗法。安进公司推出了一种新的基于基因修饰溶瘤病毒的免疫治疗药物talimogene laherparepvec(T-Vec),该药物已被批准用于瘤内治疗皮肤黑色素瘤。Oncosec Immunotheraps正在开发基于细胞因子的瘤内免疫疗法,以刺激人体免疫系统瞄准并攻击癌症。
默克等公司探索的其他局部治疗方法,也试图通过肿瘤内递送其他药物,将免疫系统细胞募集到局部肿瘤微环境中。
然而,这些公司目前都专注于刺激免疫细胞来达到疗效,而不是在肿瘤内直接杀死肿瘤细胞。Intensity则是采用将有效的药物传递到肿瘤内杀死肿瘤细胞的直接疗法,这种治疗方法能够提供高局部杀伤效果和无毒的全身抗癌效果。从这个层面来看,Intensity仍然存在一定的市场优势。


















