精彩看点:
AI超级大脑再迭代,赋能全线装备
PIQE CT中国首展,开启“4K”超清成像时代
至尊3T磁共振,突破“制衡三角”,实现59秒脊柱高分辨率成像
业界分辨率最高血管造影系统,首展中国,重塑介入信心
……
2024年11月5日,佳能医疗亮相第七届中国国际进口博览会(简称“进博会”)。连续第七年参加进博会,佳能医疗以“逐光百年 以新致远”为主题,围绕精准医疗、数字化发展、AI赋能等方面带来了融合全球资源和中国智慧的诸多创新成果,其中多款产品更是首次在中国市场展出。通过进博会平台,佳能医疗致力于推动实现中国医患与全球同步享受最新的医疗科技成果,以实际行动践行服务中国用户的长期承诺。
佳能医疗中国总代表田口亘表示:“进博会是中国与世界桥接资源、共享发展机遇的重要平台,也是外资企业展示新产品新技术的重要舞台。今年是佳能医疗连续第7年参加进博会,新品展出数量创下了历史之最,CT、磁共振、血管造影都带来了我们全球最新的AI赋能的产品和解决方案,其中Supreme至尊高清3.0T磁共振更是先于RSNA2024在中国首展。作为中国医疗事业的积极参与者,我们即将迎来在中国发展的第50个年头,下一步,我们将继续深化在华布局,将全球创新资源与本土市场深度融合,依托百余年培育起来的影像技术实力,在AI和数字化领域的前瞻创新以及与中国伙伴的全方位价值合作,加速融入中国医疗新质生产力构建新格局,服务中国健康事业高质量发展。”
世界级智能新品 直击医疗核心需求
4K级心脏高清成像 剂量降低95%
Aquilion ONE with PIQE CT
-中国首展-

心脑血管疾病已成为威胁人类健康的头号杀手,《中国心血管健康与疾病报告2023》的数据显示,我国心脑血管疾病患病人数已多达3.3亿,并呈现出年轻化的趋势。在实际临床诊断中,囿于传统CT在扫描速度、时间/空间分辨率以及造影技术上的局限性,冠脉钙化、冠脉支架、人工瓣膜等疑难场景的精准诊断一直难以突破。AI影像技术的快速发展,为此带来了新的影像学方案。佳能医疗此次在中国首展的全新一代高清CT,搭载最新研发的高清AI引擎PIQE(Precise IQ Engine),突破传统CT成像禁区,将CT心脏成像带入了“4K”时代。
传统意义上,为了得到更高画质的图像,就需要更多辐射剂量,而佳能医疗的高信噪AI引擎AiCE2.0革命性地打破了"低辐射"和"高画质"之间的折衷关系。常规的胸部平扫剂量在1毫西弗左右(约等于1000微西弗),AiCE2.0可将剂量大幅降低95%,降至50微西弗——约等于坐一趟从上海飞往纽约的国际航班,所受到的大自然本体辐射——这是实现CT超低剂量成像的一次重大飞跃。

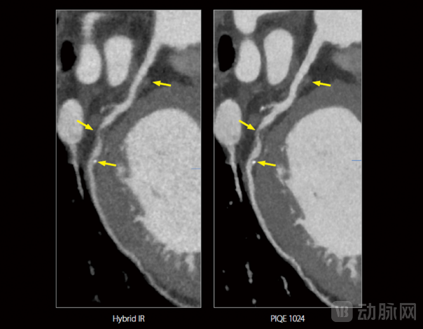
在冠心病的诊断中,正性重构是冠状动脉斑块破裂高风险的标志之一。如果不能准确识别血管的正性重构情况,医生可能会低估患者发生急性心血管疾病(如心肌梗死)的风险,导致漏诊或误诊。上图是PIQE图像协助医生捕捉到的一名冠心病患者随访诊断中的极微小病灶:可以看到,与传统混合迭代图像(左)相比, PIQE图像(右)更清晰地显示了LCX(左回旋支,冠状动脉的主要分支)中存在软斑块导致的严重狭窄(>70%),中段血管向外/正性重构,并显示该狭窄处位于第一钝缘支前方约10mm处,狭窄处远端存在一个微小钙化斑块。针对这一新发病变,医生及时调整了治疗方案。

上图是对冠心病患者血管内软斑块的成像对比,对于微小斑块的显示,FBP和迭代图像均无法清晰显示边缘,不利于评估患者血管内部情况,而在PIQE的加持下,斑块的边缘更加锐利,血管管腔的边缘更加清晰,有助于临床对于管腔结构的改变做出更加准确的判断。
突破“制衡三角”
Supreme至尊高清3.0T磁共振
-首次先于RSNA在中国首展-

磁共振成像中,信噪比、空间分辨率和扫描时间被称为“制衡三角”,它们之间相互作用,互相制约,共同影响着图像的质量和诊断的准确性。过去,高分辨率图像的获取往往伴随着漫长的扫描时间,这无疑阻碍了图像获取的高效性。高清AI引擎PIQE可以实现增加图像矩阵、减少图像噪声、缩短扫描时间的完美“三重奏”,同时,结合 Real-time 平台,大幅提升数据交换和处理的速度,提升临床诊断效能。
59秒脊柱高分辨率成像
在脊柱成像中,使用PIQE技术,Supreme 在59秒的极速扫描下即可获得960X960矩阵的高分辨率图像,为创伤患者的快速诊治创造了新价值。

2分钟颅脑成像
传统的颅脑平扫,5个序列的扫描时间约7-10分钟,而同一情况下, PIQE可以将扫描时长缩短至2分半钟,即便扫描时间大幅降低,病变的边界与内部结构依然能够清晰显示,这大大地提升了诊断效率和精准度,对于急性脑部疾病,如急性脑梗死、脑出血等,能够争取到宝贵的救治时间,有助于改善患者的预后。


舒适无干扰 患者友好
肝脏疾病患者、屏息困难者及儿童患者在接受磁共振检查时,常因配合度不足导致图像产生运动伪影,影响诊断的准确性。IMC采用了基于深度学习的方法来实现运动校正,能有效减轻因患者不自主运动而产生的伪影;此外,Quick Star自由呼吸技术能有效减少由呼吸运动引起的伪影,显著提升了儿童患者检查的成功率。同时,集“交换、校正与重建”功能于一体的Real-time平台,能够识别并抑制产生伪影的无用RF波形,从而减轻干扰,确保数据的准确性和可靠性。


业界唯一极微高清平板 重塑介入信心
Alphenix Sky+ 显微高清双滑环介入系统
-中国首展-

区别于CT、磁共振的血管成像,血管造影系统可以提供实时、动态的血管影像,快速精准定位并准确呈现病变细节,还可以较早期发现血管内部的隐匿病变,在心脑血管疾病的精准诊断和介入治疗中发挥着不可替代的作用。
76微米显微高清 突破成像极限
Alphenix Sky+搭载全球首创显微高清探测器,像素尺寸突破性达到76微米,像素面积仅为传统探测器的1/4,空间分辨率较以往提高一倍,达到了6.6lp/mm,可以突破传统成像技术放大极限,让术者如同在显微镜下进行介入手术,洞察微小病灶,实现精准导航,结合全16bit高清影像链和Alphenix2.0智能应用等软硬件创新成果,为神经、心脏、肿瘤、外周大血管等领域的精细化复杂介入手术提供全临床显微级高清成像,增强医生手术信心。

突破时空限制 全身高速3D成像
在介入治疗中,快速切换角度和调整部位,是提升手术效率的是关键。Alphenix Sky+采用双滑环C臂9向灵动机架设计,突破了传统DSA设备在“时空”上的限制,在自由呼吸间解锁全身201cm任意位置的高速3D采集,单次采集秒级同步,为盆腔肿瘤、下肢复杂病的介入治疗提供更加高效、精准的术中3D造影,有效克服呼吸运动伪影,提升图像质量,提升手术效率。

(双滑环 C 臂 9 向灵动机架设计)
智能剂量控制 守护医患安全
区别于其它放射诊断程序,介入放射不论是对患者还是对医护人员造成的剂量都比较大,因此,加强医患剂量防护,一直是介入放射学发展的重要课题。搭载业界唯一的剂量智能可视化技术DoseRite,可实时追踪并控制剂量,使得剂量均匀分布, 并保证图像质量恒定,为医患安全保驾护航。


多模态融合 大幅提升危急重症诊疗效能
Collaborative Imaging超高清综合解决方案
-中国首展-
目前,全球医疗环境正面临医疗成本高、医护人员负担重、优质医疗资源可及性低等挑战。致力于帮助临床用更少的资源实现更多目标,佳能医疗推出了Collaborative Imaging超高清综合解决方案(简称“CI”),并在中国市场首次展出。CI的诞生,使得覆盖 CT、MR、血管造影以及超声领域的全线产品在人工智能的赋能下形成合力,通过多模态融合,高度串联各领域超高清诊断数据,不仅可以为疾病诊断提供更加全方位的分析视角,提升诊断的精准度,同时提升了跨学科协作效率,为肿瘤、心血管、神经系统以及运动医学领域提供综合解决方案,赋能提升危急重症的诊疗效能。

以运动医学为例。CI实现了CT、磁共振以及超声在运动损伤中的超高清协同成像,并将诊断不同环节和不同诊断设备上的数据进行整合,基于大量的不同维度的诊断数据,提升诊治效率和决策的科学性,支持运动伤病的早期诊断与治疗,以及伤病的预防和康复。

佳能医疗与曼联、巴塞罗那、皇家马德里等知名体育俱乐部以及顶级专家合作,不断探索创新,发表了 40 多项关于肌肉骨骼 (MSK) 和心脏成像的研究,为运动医学界贡献了宝贵的学术力量,为运动员管理运动伤病、做出最佳复赛 (RTP) 决策提供支持。
除了首发首展的新品,在本届进博会上,佳能医疗还带来了多款明星产品。

Ultimax-i是业界少有的将C臂血管机与可倾倒式胃肠床巧妙融合的X线影像设备,具备多种功能模块,能广泛应用于放射、消化、呼吸、介入、泌尿、妇产等多个领域,既能多科室联合应用,也能完成单一科室的高难度诊疗任务。此外,升级迭代的Ultimax-i搭载了由佳能医疗与奥林巴斯合作共研的智能高清算法Accent,结合高清平板与全新数字系统的应用,可大幅降低辐射剂量,同时提升图像处理精度、捕捉细微病变的能力,实现了高清分辨动态成像,使得诊疗过程轻松可靠,诊断结果精准高效。为满足中国市场的前沿需求,很快,佳能医疗将在中国国产上市Ultimax-i并推出新款产品。

常规条件

应用Accent后
图片所示患者,因碎石后胆结石残留而植入塑料支架,支架误入胆道,需要使用取石网篮对支架和残留结石进行回收。应用Accent后,支架下端的开口和取石网篮的导线、导丝均清晰可见,医生顺利完成了支架回收手术。
作为佳能超声旗舰产品,Aplio i系列搭载诸多优势技术,如高达 33MHz 和 24MHz 的高频探头群以及 i 系列创新探头,iDMS 智能动态微切片技术,带来超薄声束,提升成像分辨力以及敏感度更高的 iSMI 超微血流成像技术等。以及 Liver Package 肝脏疾病全病程无创定量解决方案,整合ATI 声衰减成像, SWE 剪切波弹性成像多项先进技术,能够全方位多角度地评估肝脏弥漫性疾病,包括肝细胞炎性、坏死、纤维化、脂肪变性等多种病理状态,助力全病程管理。2024年,依托Aplio i系列的肝脏疾病解决方案,由佳能医疗支持的全球多中心和中国多中心项目均在RSNA学术期刊《Radiology》发布了最新科研成果,为肝脏疾病的探索提供了前瞻视野。


全自动生化分析仪TBA-FX8配备多种创新智能化应用,可以大幅提升检验效率。三维智能机器人机械臂取样,速度快,试剂仓容量大,检验效能高,为优化检验流程赋能添力,还可拓展连接实验室流水线系统。配备先进的光学系统,分光精度高,帮助实验室开展更多的实验项目。还配备专门的急诊加载通道和双向运行轨道取样模式,满足急诊快速检验需求。目前,搭载V2.0软件的TBA-FX8已经国产上市,助力医院智慧实验室建设。

展望未来,借助进博会平台,佳能医疗将不断引入先进的医疗技术和产品,积极推动各项成果落地,与各界伙伴共同努力,持续助力中国医疗事业高质量发展。


















